Панкреатодуоденальная резекция при первично нерезектабельном раке головки поджелудочной железы после неоадъювантной химиотерапии
https://doi.org/10.16931/10.16931/1995-5464.2023-2-110-116
Аннотация
Представлено клиническое наблюдение успешного комбинированного лечения пациента с протоковой аденокарциномой головки поджелудочной железы с распространением на верхнюю брыжеечную артерию и вену. При обследовании диагностирована нерезектабельная опухоль. После 12 курсов химиотерапии по схеме FOLFIRINOX получены хорошие результаты, план лечения был изменен и выполнена типичная панкреатодуоденальная резекция. При патоморфологическом исследовании – протоковая аденокарцинома урT1N0M0R0, II степень терапевтического патоморфоза (TRG 2). Послеоперационный период без осложнений. Эффективность лекарственного лечения при протоковой аденокарциноме в последние годы заметно возросла. Неоадъювантную химиотерапию можно считать наиболее эффективной при местном распространении опухоли.
Ключевые слова
Об авторах
Г. Г. АхаладзеРоссия
Ахаладзе Гурам Германович – доктор мед. наук, профессор, главный научный сотрудник лаборатории хирургических технологий в онкологии научно-исследовательского отдела хирургии, урологии, гинекологии и инвазивных технологий в онкологии
117997, Москва, ул. Профсоюзная, д. 86
С. В. Гончаров
Россия
Гончаров Сергей Владимирович – канд. мед. наук, заведующий отделением хирургических методов лечения и противоопухолевой лекарственной терапии абдоминальной онкологии с койками абдоминальной хирургии
117997, Москва, ул. Профсоюзная, д. 86
В. А. Рагимов
Россия
Рагимов Вадим Абдурагимович – младший научный сотрудник лаборатории хирургических технологий в онкологии
научно-исследовательского отдела хирургии, урологии, гинекологии и инвазивных технологий в онкологии
117997, Москва, ул. Профсоюзная, д. 86
З. Э. Балиев
Россия
Балиев Заур Эмирович – клинический ординатор отделения хирургических методов лечения и противоопухолевой
лекарственной терапии абдоминальной онкологии с койками абдоминальной хирургии
117997, Москва, ул. Профсоюзная, д. 86
И. Н. Бердникова
Россия
Бердникова Ирина Николаевна – врач-онколог отделения онкологии-химиотерапии с дневным стационаром
125367, Москва, Иваньковское ш., д. 3
М. А. Ильин
Россия
Ильин Матвей Анатольевич – канд. мед. наук, сотрудник отделения дистанционной радиотерапии взрослых с дневным радиотерапевтическим стационаром
117997, Москва, ул. Профсоюзная, д. 86
О. П. Близнюков
Россия
Близнюков Олег Петрович – доктор мед. наук, заведующий патологоанатомическим отделением
117997, Москва, ул. Профсоюзная, д. 86
Список литературы
1. Oba A., Ho F., Bao Q.R., Al-Musawi M.H., Schulick R.D., DelChiaro M. Neoadjuvant treatment in pancreatic cancer. Front. Oncol. 2020; 10: 245. https://doi.org/10.3389/fonc.2020.00245
2. Tempero M.A., Malafa M.P., Al-Hawary M., Behrman S.W., Benson A.B., Cardin D.B., Chiorean E.G., Chung V., Czito B., DelChiaro M., Dillhoff M., Donahue T.R., Dotan E., Ferrone C.R., Fountzilas C., Hardacre J., Hawkins W.G., Klute K., Ko A.H., Kunstman J.W., Lo Conte N., Lowy A.M., Moravek C., Nakakura E.K., Narang A.K., Obando J., Polanco P.M., Reddy S., Reyngold M., Scaife C., Shen J., Vollmer C., Wolff R.A., Wolpin B.M., Lynn B., George G.V. Pancreatic Adenocarcinoma, Version 2.2021, NCCN Clinical Practice Guidelines in Oncology. J. Natl. Compr. Canc. Netw. 2021; 19 (4): 439–457. https://doi.org/10.6004/jnccn.2021.0017
3. Wright G.P., Poruk K.E., Zenati M.S., Steve J., Bahary N., Hogg M.E., Zuriekat A.H., Wolfgang C.L., Zeh H.J., Weiss M.J. Primary tumor resection following favorable response to systemic chemotherapy in stage IV pancreatic adenocarcinoma with synchronous metastases: a bi-institutional analysis. J. Gastrointest. Surg. 2016; 20 (11): 1830–1835. https://doi.org/10.1007/s11605-016-3256-2
4. Crippa S., Bittoni A., Sebastiani E., Partelli S., Zanon S., Lanese A., Andrikou K., Muffatti F., Balzano G., Reni M., Cascinu S., Falconi M. Is there a role for surgical resection in patients with pancreatic cancer with liver metastases responding to chemotherapy? Eur. J. Surg. Oncol. 2016; 42 (10): 1533–1539. https://doi.org/10.1016/j.ejso.2016.06.398
5. Zurleni T., Gjoni E., Altomare M., Rausei S. Conversion surgery for gastric cancer patients: a review. World J. Gastrointest. Oncol. 2018; 10 (11): 398–409. https://doi.org/10.4251/wjgo.v10.i11.398
6. Zhang B., Zhou F., Hong J., Ng D.M., Yang T., Zhou X., Jin J., Zhou F., Chen P., Xu Y. The role of FOLFIRINOX in metastatic pancreatic cancer: a meta-analysis. World J. Surg. Oncol. 2021; 19 (1): 182. https://doi.org/10.1186/s12957-021-02291-6
7. Gillen S., Schuster T., Meyer Zum Büschenfelde C., Friess H., Kleeff J. Preoperative/neoadjuvant therapy in pancreatic cancer: a systematic review and meta-analysis of response and resection percentages. PLoS Med. 2010; 7 (4): e1000267. https://doi.org/10.1371/journal.pmed.1000267
8. Suker M., Beumer B.R., Sadot E., Marthey L., Faris J.E., Mellon E.A., El-Rayes B.F., Wang-Gillam A., Lacy J., Hosein P.J., Moorcraft S.Y., Conroy T., Hohla F., Allen P., Taieb J., Hong T.S., Shridhar R., Chau I., Van Eijck C.H., Koerkamp B.G. FOLFIRINOX for locally advanced pancreatic cancer: a systematic review and patient-level meta-analysis. Lancet Oncol. 2016; 17 (6): 801–810. https://doi.org/10.1016/S1470-2045(16)00172-8
9. Zhou Y., Liao S., You J., Wu H. Conversion surgery for initially unresectable pancreatic ductal adenocarcinoma following induction therapy: a systematic review of the published literature. Updates Surg. 2022; 74 (1): 43–53. https://doi.org/10.1007/s13304-021-01089-1
10. Cassinotto C., Cortade J., Belleannée G., Lapuyade B., Terrebonne E., Vendrely V., Laurent C., Sa-Cunha A. An evaluation of the accuracy of CT when determining resectability of pancreatic head adenocarcinoma after neoadjuvant treatment. Eur. J. Radiol. 2013; 82 (4): 589–593. https://doi.org/10.1016/j.ejrad.2012.12.002
11. Macedo F.I., Ryon E., Maithel S.K., Lee R.M., Kooby D.A., Fields R.C., Hawkins W.G., Williams G., Maduekwe U., Kim H.J., Ahmad S.A., Patel S.H., Abbott D.E., Schwartz P., Weber S.M., Scoggins C.R., Martin R.C., Dudeja V., Franceschi D., Livingstone A.S., Merchant N.B. Survival outcomes associated with clinical and pathological response following neoadjuvant FOLFIRINOX or gemcitabine/nabpaclitaxel chemotherapy in resected pancreatic cancer. Ann. Surg. 2019; 270 (3): 400–413. https://doi.org/10.1097/SLA.0000000000003468
12. Sivapalan L., Kocher H.M., Ross-Adams H., Chelala C. Molecular profiling of ctDNA in pancreatic cancer: opportunities and challenges for clinical application. Pancreatology. 2021; 21 (2): 363–378. https://doi.org/10.1016/j.pan.2020.12.017
13. Cloyd J.M., Wang H., Egger M.E., Tzeng C.D., Prakash L.R., Maitra A., Varadhachary G.R., Shroff R., Javle M., Fogelman D., Wolff R.A., Overman M.J., Koay E.J., Das P., Herman J.M., Kim M.P., Vauthey J.N., Aloia T.A., Fleming J.B., Lee J.E., Katz M.H.G. Association of clinical factors with a major pathologic response following preoperative therapy for pancreatic ductal adenocarcinoma. JAMA Surg. 2017; 152 (11): 1048–1056. https://doi.org/10.1001/jamasurg.2017.2227
14. Cloyd J.M., Ejaz A., Shen C., Dillhoff M., Williams T.M., Noonan A., Pawlik T.M., Tsung A. Pathologic complete response following neoadjuvant therapy for pancreatic ductal adenocarcinoma: defining the incidence, predictors, and outcomes. HPB (Oxford). 2020; 22 (11): 1569–1576. https://doi. org/10.1016/j.hpb.2020.01.013
15. Yoon M.S., Lee H.S., Kang C.M., Lee W.J., Keum J., Sung M.J., Kim S.S., Park M.S., Jo J.H., Chung M.J., Park J.Y., Park S.W., Song S.Y., Hwang H.K., Bang S. Response to neoadjuvant therapy and prognosis in patients with resectable pancreatic cancer: a propensity score matching analysis. Gut Liver. 2022; 16 (1): 118–128. https://doi.org/10.5009/gnl20301
16. Zhou Y., Liao S., You J. Pathological complete response after neoadjuvant therapy for pancreatic ductal adenocarcinoma does not equal cure. ANZ J. Surg. 2021; 91 (5): E254–E259. https://doi.org/10.1111/ans.16665
17. Hartford C.M., Dolan M.E. Identifying genetic variants that contribute to chemotherapy-induced cytotoxicity. Pharmacogenomics. 2007; 8 (9): 1159–1168. https://doi.org/10.2217/14622416.8.9.1159
18. Barrak D., Villano A.M., Villafane-Ferriol N., Stockton L.G., Hill M.V., Deng M., Handorf E.A., Reddy S.S. Total neoadjuvant therapy for pancreatic adenocarcinoma increases probability for a complete pathologic response. Eur. J. Surg. Oncol. 2022; 48 (6): 1356–1361. https://doi.org/10.1016/j.ejso.2021.12.473
Дополнительные файлы
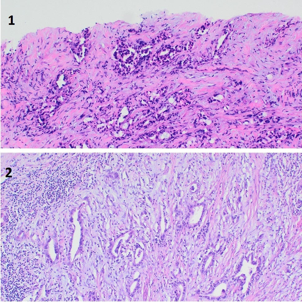
|  | 1. Гистологическая картина | |
| Тема | ||
| Тип | Исследовательские инструменты | |
| 
                  
                    Посмотреть
                                        
                    (557KB)    
                   | Метаданные ▾ | |
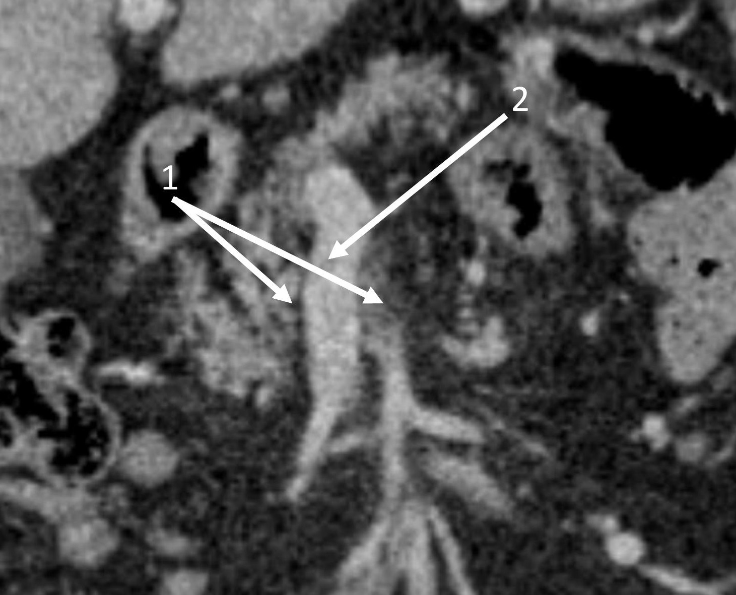
|  | 2. Состояние опухоли до начала неоадъювантной терапии. | |
| Тема | ||
| Тип | Исследовательские инструменты | |
| 
                  
                    Посмотреть
                                        
                    (220KB)    
                   | Метаданные ▾ | |
|  | 3. Состояние опухоли до начала неоадъювантной терапии | |
| Тема | ||
| Тип | Исследовательские инструменты | |
| 
                  
                    Посмотреть
                                        
                    (229KB)    
                   | Метаданные ▾ | |
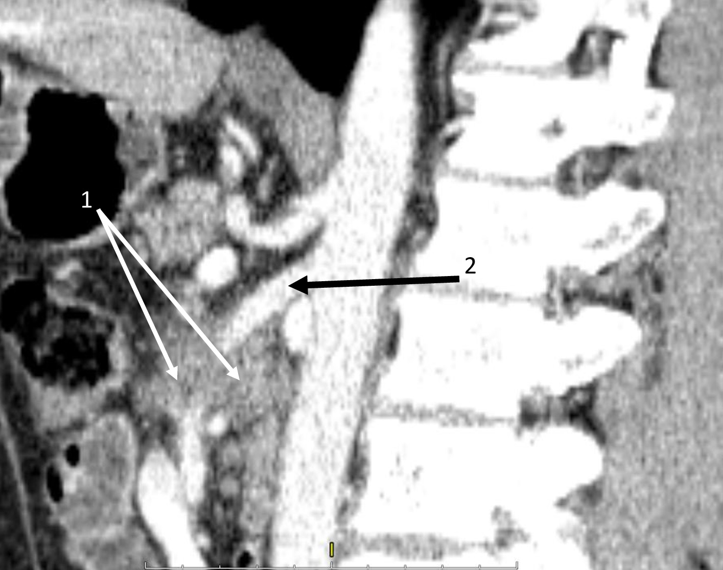
|  | 4. Состояние опухоли после 12 курсов FOLFIRINOX | |
| Тема | ||
| Тип | Исследовательские инструменты | |
| 
                  
                    Посмотреть
                                        
                    (261KB)    
                   | Метаданные ▾ | |
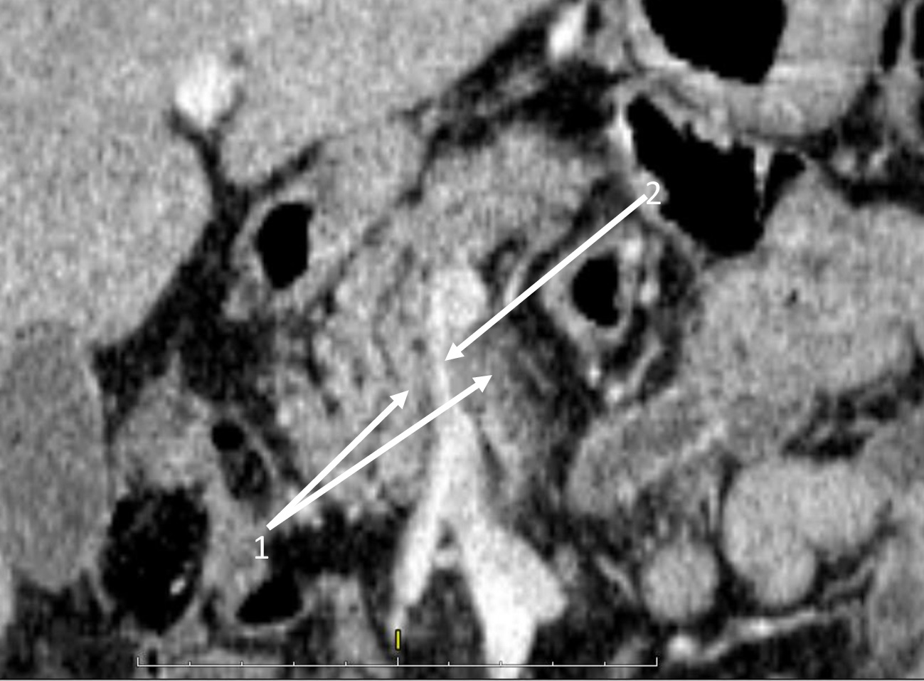
|  | 5. Состояние опухоли после 12 курсов FOLFIRINOX. | |
| Тема | ||
| Тип | Исследовательские инструменты | |
| 
                  
                    Посмотреть
                                        
                    (316KB)    
                   | Метаданные ▾ | |
Рецензия
Для цитирования:
Ахаладзе Г.Г., Гончаров С.В., Рагимов В.А., Балиев З.Э., Бердникова И.Н., Ильин М.А., Близнюков О.П. Панкреатодуоденальная резекция при первично нерезектабельном раке головки поджелудочной железы после неоадъювантной химиотерапии. Анналы хирургической гепатологии. 2023;28(2):110-116. https://doi.org/10.16931/10.16931/1995-5464.2023-2-110-116
For citation:
Akhaladze G.G., Goncharov S.V., Ragimov V.A., Baliev Z.E., Berdnikova I.N., Ilin M.A., Bliznyukov O.P. Pancreaticoduodenal resection for primary unresectable pancreatic head cancer after neoadjuvant chemotherapy. Annaly khirurgicheskoy gepatologii = Annals of HPB Surgery. 2023;28(2):110-116. (In Russ.) https://doi.org/10.16931/10.16931/1995-5464.2023-2-110-116
 
                    
 
                                                 
























 
             
  Послать статью по эл. почте
            Послать статью по эл. почте