Спонтанный разрыв печени у беременной на фоне HELLP-синдрома
https://doi.org/10.16931/1995-5464.20193132-138
Аннотация
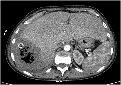
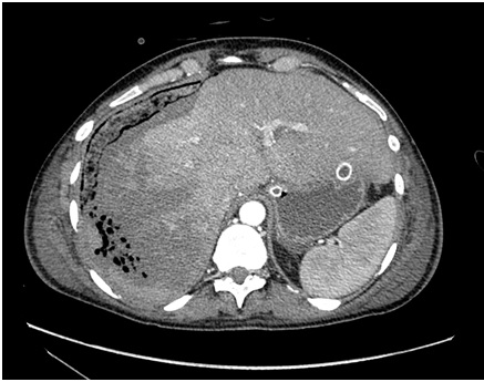
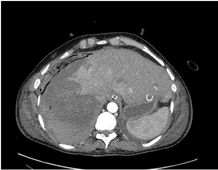
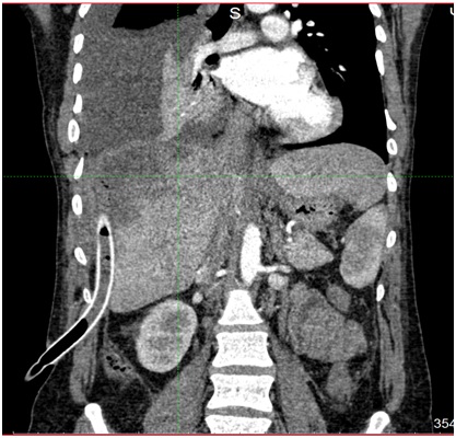
Спонтанный разрыв печени – редкое и крайне опасное, жизнеугрожающее состояние, развивающееся у 1–2% беременных женщин с преэклампсией или эклампсией. В литературе описано более 100 подобных наблюдений. Считается, что причиной разрыва печени является HELLP-синдром, одно из проявлений преэклампсии. Результаты хирургического лечения все еще остаются неудовлетворительными. Ввиду редкости состояния отсутствует единство в выборе методов лечения. Приведено клиническое наблюдение пациентки со спонтанным разрывом печени на фоне HELLP-синдрома, которой была выполнена перигепатическая тампонада, рентгенэндоваскулярная окклюзия правой печеночной артерии, в дальнейшем – правосторонняя гемигепатэктомия.
Ключевые слова
Об авторах
Т. М. БунятовРоссия
Бунятов Тимур Мусаевич – ординатор по специальности “хирургия”
И. А. Козлов
Козлов Илья Анатольевич – доктор мед. наук, и.о. заведующего онкологическим отделением хирургических методов лечения и противоопухолевой лекарственной терапии
Б. Н. Гурмиков
Гурмиков Беслан Нуралиевич – канд. мед. наук, врач-хирург онкологического отделения хирургических методов лечения и противоопухолевой лекарственной терапии
Ю. А. Степанова
Степанова Юлия Александровна – доктор мед. наук, ученый секретарь
В. С. Широков
Широков Вадим Сергеевич – старший научный сотрудник отделения рентгенологии и МР-исследований с кабинетом ультразвуковой диагностики
В. А. Вишневский
Вишневский Владимир Александрович – доктор мед. наук, профессор, советник директора
117997, Москва, ул. Большая Серпуховская, д. 27. Тел.: +7-985-762-35-09
Список литературы
1. Wicke C., Pereira P.L., Neeser E., Flesch I., Rodegerdts E.A., Becker H.D. Subcapsular liver hematoma in HELLP syndrome: evaluation of diagnostic and therapeutic options – a unicenter study. Am. J. Obstet. Gynecol. 2004; 190 (1): 106–112.
2. Vigil-De Gracia P. Maternal deaths due to eclampsia and HELLP syndrome. Int. J. Gynecol. Obst. 2009; 104 (2): 90–94. http://doi.org/10.1016/j.ijgo.2008.09.014.
3. Weinstein L. Syndrome of hemolysis, elevated liver enzymes, and low platelet count: a severe consequence of hypertension in pregnancy. Am. J. Obstet. Gynecol. 1982; 142 (2): 159–167.
4. Ong G.B., Taw J.L. Spontaneous rupture of hepatocellular carcinoma. Br. Med. J. 1972; 4 (5833): 146–149.
5. Chearanai O., Plengvanit U., Asavanich C., Damrongsak D., Sindhvananda K. Spontaneous rupture of primary hepatoma: report of 63 cases with particular reference to the pathogenesis and rationale treatment by hepatic artery ligation. Cancer. 1983; 51 (8): 1532–1536.
6. Andersson R., Tranberg K.G., Bengmark S. Hemoperitoneum after spontaneous rupture of liver tumor: results of surgical treatment. HPB Surgery. 1988; 1 (1): 81–83.
7. Cozzi P.J., Morris D.L. Two cases of spontaneous liver rupture and literature review. HPB Surgery. 1996; 9 (4): 257–260.
8. Abercrombie J. Hemorrhage of the liver. Lond. Med. Gaz. 1844; 34: 792–794.
9. Vigil-De G.P., Ortega-Paz L. Pre-eclampsia/eclampsia and hepatic rupture. Int. J. Gynecol. Obst. 2012; 118 (3): 186–189. http://doi.org/10.1016/j.ijgo.2012.03.042.
10. Ионкин Д.А., Икрамов Р.З., Вишневский В.А., Кабанова Т.И., Жаворонкова О.И., Коваленко З.А. Спонтанная подкапсульная гематома печени на фоне HELLP синдрома. Анналы хирургической гепатологии. 2011; 16 (3): 106–109.
11. Zangemeister W. Die Lehre von der Eklampsie auf Grund eigener Untersuchungen dargestellt. Verlag: S. Hirzel, Leipzig, 1926; 44 p.
12. Nelson E.W., Archibald L., Albo D. Spontaneous hepatic rupture in pregnancy. Am. J. Surg. 1977; 134 (6): 817–820.
13. Hunter S.K., Martin M., Benda J.A., Zlantik F.J. Liver transplant after massive spontaneous hepatic rupture in pregnancy complicated by preeclampsia. Obstet. Gynecol. 1995; 85 (5 Pt. 2): 819–822.
14. Mascarenhas R., Mathias J., Varadarajan R., Geoghegan J., Traynor Mr.O. Spontaneous hepatic rupture: a report of five cases. HPB (Oxford). 2002; 4 (4): 167–170. http://doi.org/10.1080/13651820260503819.
15. Nunes J.O., Turner M.-A., Fulcher A.S. Abdominal imaging features of HELLP syndrome: A 10-year retrospective review. Am. J. Roentgenol. 2005; 185 (5): 1205–1210. http://doi.org/10.2214/AJR.04.0817.
16. Suarez B., Alves K., Senat M.V., Fromageot J., Fischer C., Rosenberg P., Ville Y. Abdominal pain and preeclampsia: sonographic findings in the maternal liver. J. Ultrasound. Med. 2002; 21 (10): 1077–1083.
17. Степанова Ю.А., Борсуков А.В., Панченков Д.Н. Чрескожные вмешательства на органах гепатопанкреатобилиарной зоны и селезенке под контролем ультразвука. Часть I. Чрескожные вмешательства на печени. Диагностическая и интервенционная радиология. 2009; 3 (1): 55–77.
18. Domadia N., Bheda H., Modiya S., Raychaudhari C. Role of CT scan in diagnosis of HELLP syndrome: Radiologist’s perspective. IAIM. 2017; 4 (2): 60–63.
19. Yagmurdur M.C., Agalar F., Daphan C.E. Spontaneous hepatic rupture in pregnancy. Eur. J. Emerg. Med. 2000; 7 (1): 75–76.
20. Smith L.G., Moise K.J., Dildy G.A., Carpenter R.J. Spontaneous rupture of liver during pregnancy: Current therapy. Obstet. Gynecol. 1991; 77 (2): 171–175.
21. Gutovich J.M., Van Allan R.J. Hepatic artery embolization for hepatic rupture in HELLP syndrome. J. Vasc. Interv. Radiol. 2016; 27 (12): 1931–1933. http://doi.org/10.1016/j.jvir.2016.08.003.
Дополнительные файлы
|
|
1. рис.1а мскт | |
| Тема | ||
| Тип | Исследовательские инструменты | |
Посмотреть
(52KB)
|
Метаданные ▾ | |
|
|
2. рис1б мскт | |
| Тема | ||
| Тип | Исследовательские инструменты | |
Посмотреть
(42KB)
|
Метаданные ▾ | |
|
|
3. рис 2а мскт | |
| Тема | ||
| Тип | Исследовательские инструменты | |
Посмотреть
(71KB)
|
Метаданные ▾ | |
|
|
4. рис 2б | |
| Тема | ||
| Тип | Исследовательские инструменты | |
Посмотреть
(66KB)
|
Метаданные ▾ | |
|
|
5. рис 3 | |
| Тема | ||
| Тип | Исследовательские инструменты | |
Посмотреть
(86KB)
|
Метаданные ▾ | |
|
|
6. рис 4 | |
| Тема | ||
| Тип | Исследовательские инструменты | |
Посмотреть
(25KB)
|
Метаданные ▾ | |
Рецензия
Для цитирования:
Бунятов Т.М., Козлов И.А., Гурмиков Б.Н., Степанова Ю.А., Широков В.С., Вишневский В.А. Спонтанный разрыв печени у беременной на фоне HELLP-синдрома. Анналы хирургической гепатологии. 2019;24(3):132-138. https://doi.org/10.16931/1995-5464.20193132-138
For citation:
Bunyatov T.M., Kozlov I.A., Gurmikov B.N., Stepanova Yu.A., Shirokov V.S., Vishnevsky V.A. Spontaneous liver rupture in a pregnant woman associated with HELLP syndrome. Annaly khirurgicheskoy gepatologii = Annals of HPB Surgery. 2019;24(3):132-138. (In Russ.) https://doi.org/10.16931/1995-5464.20193132-138
























