Роль эндоскопии и эндо-УЗИ в диагностике рака поджелудочной железы
https://doi.org/10.16931/1995-5464.2019336-44
Аннотация
Протоковая аденокарцинома составляет 90% всех злокачественных новообразований поджелудочной железы, является четвертой по частоте причиной смертности в структуре онкологических заболеваний в Западном мире и пятой – в России. Тщательное предоперационное обследование направлено не только на постановку точного диагноза, но и на определение тактики лечения. Диагностический алгоритм подразумевает проведение эндоскопического ультразвукового исследования как уточняющего метода в сложных случаях. В статье представлены современные возможности эндо-УЗИ в сочетании с контрастированием тканей и проведением тонкоигольной биопсии, а также некоторые аспекты паллиативного эндоскопического лечения.
Ключевые слова
Об авторах
К. В. ШишинШишин Кирилл Вячеславович – доктор мед. наук, заведующий отделом эндоскопии
Е. В. Быстровская
Россия
Быстровская Елена Владимировна – доктор мед. наук, заведующая отделением диагностической эндоскопии
111394, Москва, ул. Перовская, д. 66, корп. 7, кв. 55. Тел.: +7-915-064-52-32
И. Ю. Недолужко
Недолужко Иван Юрьевич – канд. мед. наук, заведующий отделением оперативной эндоскопии
Д. Д. Коваленко
Коваленко Дарья Дмитриевна – врач-эндоскопист, аспирант отделения диагностической эндоскопии
111396, Москва, Зеленый проспект, д. 42, кв. 100. Тел.: 8-926-127-93-37
Г. М. Пронина
Пронина Галина Михайловна – младший научный сотрудник, аспирант отделения диагностической эндоскопии
М. В. Орлова
Орлова Мария Викторовна – врач-эндоскопист, аспирант отделения диагностической эндоскопии
Список литературы
1. Hanada K., Amano H. Early diagnosis of pancreatic cancer: Current trends and concerns. Ann. Gastroenterol. Surg. 2017; 1 (1): 44–51. http://doi.org/10.1002/ags3.12004.
2. Yamaguchi K., Okusaka T., Shimizu K., Furuse J., Ito Y., Hanada K., Shimosegawa T. EBM-based Clinical Guidelines for Pancreatic Cancer (2013) issued by the Japan Pancreatic Society: a synopsis. Jpn J. Clin. Oncol. 2014; 44 (10): 883–888. https://doi.org/10.1093/jjco/hyu127.
3. Welinsky S., Lucas A.L. Familial pancreatic cancer and the future of directed screening. Gut Liver. 2017; 11 (6): 761–770. https://doi.org/10.1007/s00261-017-1308-z.
4. Canto M.I., Harinck F., Hruban R.H., Offerhaus G.J., Poley J.W., Kamel I., Nio Y., Schulick R.S., Bassi C., Kluijt I., Levy M.J., Chak A., Fockens P., Goggins M., Bruno M. International Cancer of the Pancreas Screening (CAPS) Consortium summit on the management of patients with increased risk for familial pancreatic cancer. Gut. 2013; 62 (3): 339–347. https://doi.org/10.1136/gutjnl-2012-303108.
5. Harinck F., Konings I.C., Kluijt I., Poley J.W., van Hooft J.E., van Dullemen H.M., Nio C.Y., Krak N.C., Hermans J.J., Aalfs C.M., Wagner A., Sijmons R.H., Biermann K., van Eijck C.H., Gouma D.J., Dijkgraaf M.G., Fockens P., Bruno M.J. A multicenter comparative prospective blinded analysis of EUS and MRI for screening of pancreatic cancer in high-risk individuals. Gut. 2016; 65 (9): 1505–1513. http://doi.org/10.1136/gutjnl-2014-308008.
6. Canto M., Hruban R., Fishman E. Frequent detection of pancreatic lesions in asymptomatic high-risk individuals. Gastroenterology. 2012; 142 (4): 796–804. https://doi.org/ 10.1053/j.gastro.2012.01.005.
7. Yamaguchi K., Okusaka T., Shimizu K., Furuse J., Ito Y., Hanada K., Shimosegawa T., Okazaki K; Committee for Revision of Clinical Guidelines for Pancreatic Cancer of the Japan Pancreas Society. Clinical Practice Guidelines for Pancreatic Cancer 2016 From the Japan Pancreas Society: A Synopsis. Pancreas. 2017; 46 (5): 595–604. https://doi.org/: 10.1097/MPA.0000000000000816.
8. Нечипай А.М., Бурдюков М.С., Юричев И.Н., Романенко Н.В. Эндоскопическая ультрасонография в диагностике инвазии опухоли поджелудочной железы в магистральные сосуды. Анналы хирургической гепатологии. 2010; 15 (2): 72–80.
9. Raut C.P., Grau A.M., Staerkel G.A. Diagnostic accuracy of endoscopic ultrasound-guided fine-needle aspiration in patients with presumed pancreatic cancer. J. Gastrointest. Surg. 2003; 7 (1): 118–126. https://doi.org/10.1007/0-387-32025-39.
10. Jinlin Wang, Xiaoli Wu, Ping Yin, Qiaozhen Guo, Wei Hou, Yawen Li, Yun Wang, Bin Cheng. EUS-guided fine needle aspiration (EUS-FNA) versus fine needle biopsy (EUS-FNB): A comparison of technical success, efficacy and cost analysis for pancreas masses. Gastrointest. Endosc. 2013; 77 (4): 373.
11. Ngamruengphong S., Swanson K., Shah N.D., Wallace M.B. Preoperative endoscopic ultrasound-guided fine needle aspiration does not impair survival of patients with resected pancreatic cancer. Divis. Gastroenterol. Hepatol. 2015; 64 (7): 1105–1110. http://doi.org/10.1136 /gutjnl-2014-307475.
12. Chantarojanasiri T., Hirooka Y., Kawashima H., Ohno E., Kuwahara T., Yamamura T., Funasaka K., Nakamura M., Miyahara R., Ishigami M., Watanabe O., Hashimoto S., Hirakawa A., Ratanachu-Ek T., Goto H. Endoscopic ultrasound in diagnosis of solid pancreatic lesions: elastography or contrast enhanced harmonic alone versus the combination. Endosc. Internat. Open. 2017; 5 (11): E1136–E1143. https://doi.org/10.1055/s-0043-118829.
13. Mayerle J., Beyer G., Simon P., Dickson E.J., Carter R.C., Duthie F., Lerch M.M., McKay C.J. Prospective cohort study comparing transient EUS guided elastography to EUS-FNA for the diagnosis of solid pancreatic mass lesions. Pancreatology. 2016; 16 (1): 110–114. http://doi.org/10.1016/j.pan.2015.10.003.
14. Seicean A., Badea R., Moldovan-Pop A., Vultur S., Botan E.C., Zaharie T., Săftoiu A., Mocan T., Iancu C., Graur F., Sparchez Z. Harmonic contrast-enhanced endoscopic ultrasonography for the guidance of fine-needle aspiration in solid pancreatic masses. Ultraschall. Med. 2017; 38 (2): 174–182. https://doi.org/10.1055/s-0035-1553496.
15. Okasha H., Mahdy R., Elkholy S. Endoscopic ultrasound (EUS) elastography and strain ratio, could it help in differentiating malignant from benign pancreatic lesions? Medicine (Baltimore). 2018; 97 (36): e11689. https://doi.org/10.1097/MD.0000000000011689.
16. Iglesias-Garcia J., Lindkvist B., Lariño-Noia J., AbdulkaderNallib I., J Dominguez-Muñoz E. Differential diagnosis of solid pancreatic masses: contrast-enhanced harmonic (CEHEUS), quantitative-elastography (QE-EUS), or both? Un. Eur. Gastroenterol. J. 2017; 5 (2): 236–246. https://doi.org/10.1177/2050640616640635.
17. Коваленко Д.Д., Быстровская Е.В., Пронина Г.М., Орлова Ю.Н., Михайлова П.И. Современные технологии эндосонографии в дифференциальной диагностике заболеваний поджелудочной железы. Поволжский онкологический вестник. 2017; 5 (32): 15–22.
18. Kitano M., Kudo M., Maekawa K., Suetomi Y., Sakamoto H., Fukuta N., Nakaoka R., Kawasaki T. Dynamic imaging by contrast enhanced harmonic EUS with long-lasting contrast: Role in diagnosis of pancreatic tumors. Gastrointest. Endosc. 2009; 69 (6): AB235. https://doi.org/10.1016/j.gie.2009.03.582.
19. Fusaroli P., Spada A., Mancino M.G., Caletti G. Contrast harmonic echo-endoscopic ultrasound improves accuracy in diagnosis of solid pancreatic masses. Clin. Gastroenterol. Hepatol. 2010; 8 (7): 629–634. https://doi.org/10.1016/j.cgh.2010.04.012.
20. Napoleon B., Alvarez-Sanchez M.V., Gincoul R. Contrastenhanced harmonic endoscopic ultrasound in solid lesions of the pancreas: results of a pilot study. Endoscopy. 2010; 42 (7): 564–570. https://doi.org/10.1055/s-0030-1255537.
21. Kitano M., Kudo M., Yamao K., Takagi T., Sakamoto H., Komaki T., Kamata K., Imai H., Chiba Y., Okada M., Murakami T., Takeyama Y. Characterization of small solid tumors in the pancreas: the value of contrast-enhanced harmonic endoscopic ultrasonography. Gastroenterol. 2012; 107 (2): 303–310. https://doi.org/10.1038/ajg.2011.354.
22. Gincul R., Palazzo M., Pujol B., Tubach F., Palazzo L., Lefort C., Fumex F., Lombard A., Ribeiro D., Fabre M., Hervieu V., Labadie M., Ponchon T., Napoléon B. Contrastharmonic endoscopic ultrasound for the diagnosis of pancreatic adenocarcinoma: a prospective multicenter trial. Endoscopy. 2014; 46 (5): 373–379. https://doi.org/10.1055/s-0034-1364969.
23. Fusaroli P., Serrani M., De Giorgio R., D'Ercole M.C., Ceroni L., Lisotti A., Caletti G. Contrast harmonic-endoscopic ultrasound is useful to identify neoplastic features of pancreatic cysts. Pancreas. 2016; 45 (2): 265–268. https://doi.org/10.1097/MPA.0000000000000441.
24. Qiu Yu-Dong, Bai Jian-Ling, Xu Fang-Gui, Ding Yi-Tao. Effect of preoperative biliary drainage on malignant obstructive jaundice: a meta-analysis. World J. Gastroenterol. 2011; 17 (3): 391–396. https://doi.org/10.3748/wjg.v17.i3.391.
25. Almadi M.A., Barkun A., Martel M. Plastic vs. self-expandable metal stents for palliation in malignant biliary obstruction: a series of metaanalyses. Am. J. Gastroenterol. 2017; 112 (2): 260–273. https://doi.org/10.1038/ajg.2016.512.
26. Moole H., Jaeger A., Cashman M., Volmar F.H., Dhillon S., Bechtold M.L., Puli S.R. Are self-expandable metal stents superior to plastic stents in palliating malignant distal biliary strictures? A meta-analysis and systematic review. Med. J. Armed. Forces India. 2017; 73 (1): 42–48. https://doi.org/10.1016/j.mjafi.2016.08.014.
27. Котовский А.Е., Глебов К.Г., Уржумцева Г.А., Петрова Н.А. Эндоскопические технологии в лечении заболеваний органов гепатопанкреатодуоденальной зоны. Анналы хирургической гепатологии. 2010; 15 (1): 9–18.
28. LeBlanc J.K., Al-Haddad M., McHenry L., Sherman S., Juan M., McGreevy K., Johnson C., Howard T.J., Lillemoe K.D., DeWitt J. A prospective, randomized study of EUS-guided celiac plexus neurolysis for pancreatic cancer: one injection or two? Gastrointest. Endosc. 2011; 74 (6): 1300–1307. https://doi.org/10.1016/j.gie.2011.07.073.
29. Levy M.J., Gleeson F.C., Topazian M.D., Fujii-Lau L.L., Enders F.T., Larson J.J., Mara K., Abu Dayyeh B.K., Alberts S.R., Hallemeier C.L., Iyer P.G., Kendrick M.L., Mauck W.D., Pearson R.K., Petersen B.T., Rajan E., Takahashi N., Vege S.S., Wang K.K., Chari S.T. Combined celiac ganglia and plexus neurolysis shortens survival, without benefit, vs plexus neurolysis alone. Gastrointest. Endosc. 2019; 17 (4): 728–738.e9. https://doi.org/10.1016/j.cgh.2018.08.040.
Дополнительные файлы
|
|
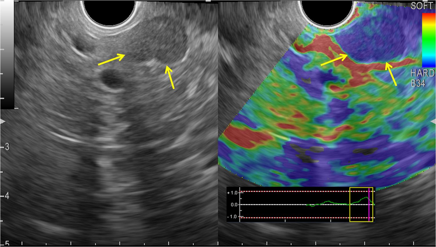
1. ЭУС - эластография новообразования поджелудочной железы: гетерогенный рисунок с преобладанием синего цвета | |
| Тема | ||
| Тип | Исследовательские инструменты | |
Посмотреть
(1MB)
|
Метаданные ▾ | |
|
|
2. ЭУС - контрастное усиление новообразования поджелудочной железы: слабое накопление контраста | |
| Тема | ||
| Тип | Исследовательские инструменты | |
Посмотреть
(1MB)
|
Метаданные ▾ | |
|
|
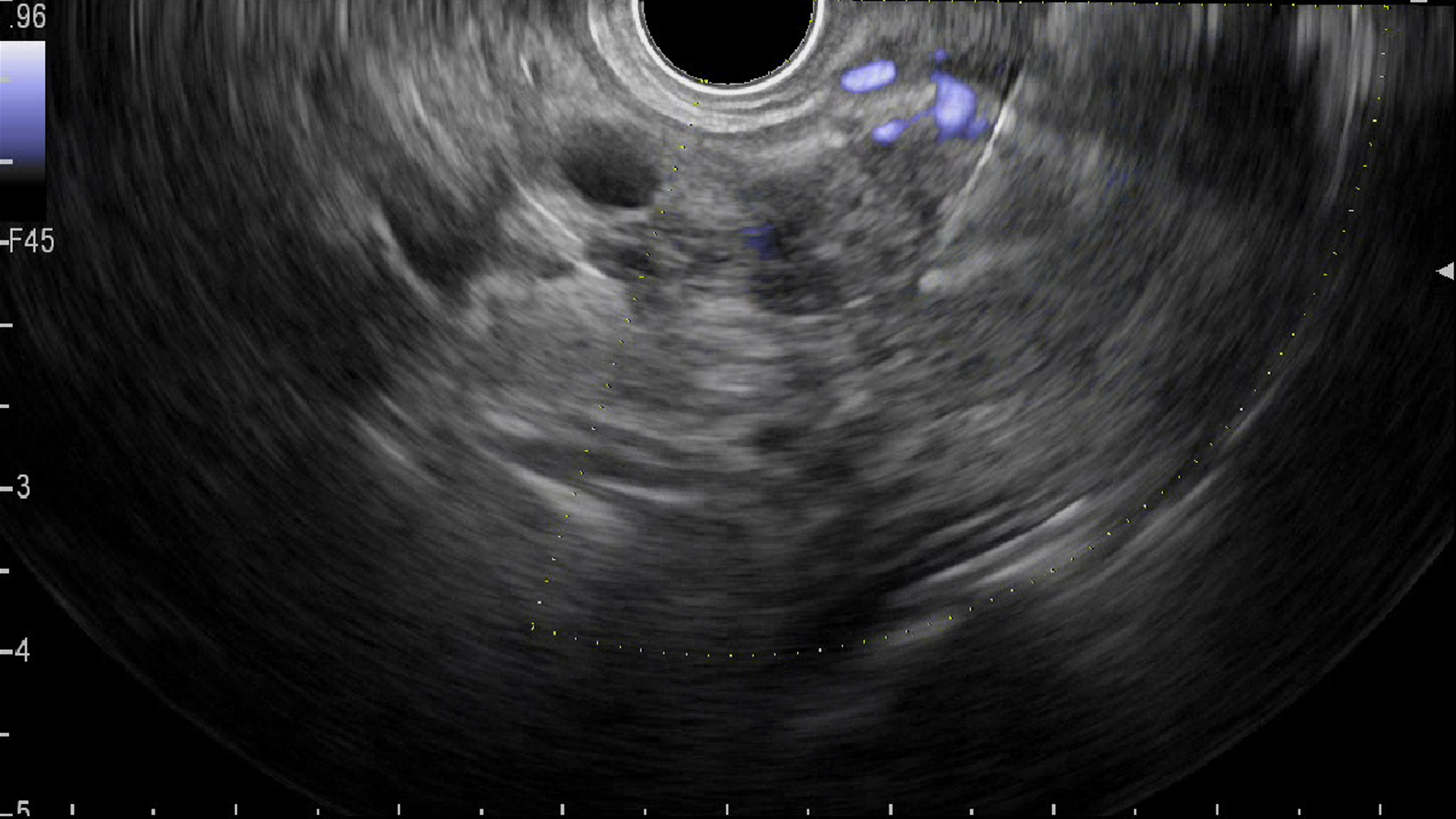
3. Тонкоигольная пункция новообразования поджелудочной железы под контролем ЭУС | |
| Тема | ||
| Тип | Исследовательские инструменты | |
Посмотреть
(2MB)
|
Метаданные ▾ | |
|
|
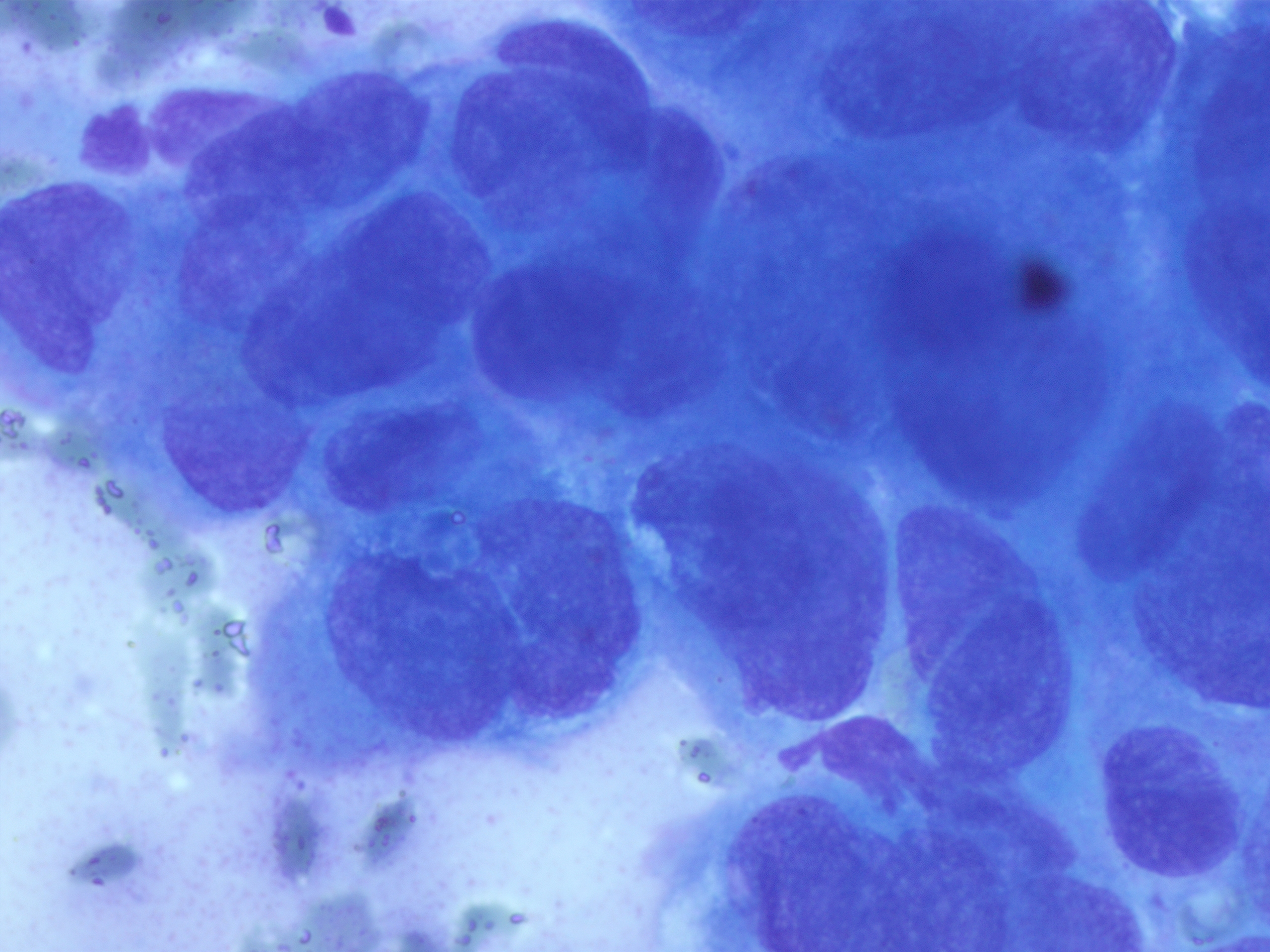
4. Пунктат опухоли ПЖ. Аденокарцинома протокового типа. Окраска по Паппенгейму (х100). | |
| Тема | ||
| Тип | Исследовательские инструменты | |
Посмотреть
(3MB)
|
Метаданные ▾ | |
|
|
5. ЭУС - эластография различных новообразований поджелудочной железы: а - псевдотуморозный панкреатит | |
| Тема | ||
| Тип | Исследовательские инструменты | |
Посмотреть
(1MB)
|
Метаданные ▾ | |
|
|
6. ЭУС - эластография различных новообразований поджелудочной железы: б - аденокарцинома | |
| Тема | ||
| Тип | Исследовательские инструменты | |
Посмотреть
(1MB)
|
Метаданные ▾ | |
|
|
7. ЭУС - эластография различных новообразований поджелудочной железы: в - нейроэндокринная опухоль | |
| Тема | ||
| Тип | Исследовательские инструменты | |
Посмотреть
(1MB)
|
Метаданные ▾ | |
Рецензия
Для цитирования:
Шишин К.В., Быстровская Е.В., Недолужко И.Ю., Коваленко Д.Д., Пронина Г.М., Орлова М.В. Роль эндоскопии и эндо-УЗИ в диагностике рака поджелудочной железы. Анналы хирургической гепатологии. 2019;24(3):36-44. https://doi.org/10.16931/1995-5464.2019336-44
For citation:
Shishin K.V., Bystrovskaya E.V., Nedoluzhko I.Yu., Kovalenko D.D., Pronina G.G., Orlova M.V. Endoscopy and endosonography in the diagnostics of pancreatic cancer. Annaly khirurgicheskoy gepatologii = Annals of HPB Surgery. 2019;24(3):36-44. (In Russ.) https://doi.org/10.16931/1995-5464.2019336-44
JATS XML
























