Резистентный асцит сложного генеза при тяжелой сочетанной форме внепеченочной портальной гипертензии
https://doi.org/10.16931/1995-5464.2022-1-87-93
Аннотация
Клиническое наблюдение демонстрирует успешное лечение пациентки с резистентным асцитом тяжелого течения при сложной сочетанной форме внепеченочной портальной гипертензии. Подчеркнута необходимость и особая важность полноценной диагностики, исследования ангиоархитектоники портального бассейна, изучения особенностей портопеченочного кровообращения и центральной гемодинамики, а также других важнейших нарушений гомеокинеза. Понимание патогенеза заболевания позволяет построить план лечебных мероприятий со строго персонифицированным подходом к выбору и этапности различных видов хирургических вмешательств.
Об авторах
Г. В. МанукьянРоссия
Манукьян Гарик Ваганович – доктор мед. наук, заведующий лабораторией экстренной хирургии и портальной гипертензии
119991, Москва, ГСП-1, Абрикосовский пер., д. 2
Р. А. Мусин
Россия
Мусин Рустам Абузарович – канд. мед. наук, старший научный сотрудник лаборатории экстренной хирургии и портальной гипертензии
119991, Москва, ГСП-1, Абрикосовский пер., д. 2
В. М. Лебезев
Россия
Лебезев Виктор Михайлович – доктор мед. наук, профессор, главный научный сотрудник лаборатории экстренной хирургии и портальной гипертензии
119991, Москва, ГСП-1, Абрикосовский пер., д. 2
С. Б. Жигалова
Россия
Жигалова Светлана Борисовна – доктор мед. наук, ведущий научный сотрудник лаборатории экстренной хирургии и портальной гипертензии
119991, Москва, ГСП-1, Абрикосовский пер., д. 2
Е. А. Киценко
Россия
Киценко Евгений Александрович – доктор мед. наук, ведущий научный сотрудник лаборатории экстренной хирургии и портальной гипертензии
119991, Москва, ГСП-1, Абрикосовский пер., д. 2
Д. В. Буренчев
Россия
Буренчев Дмитрий Владимирович – доктор мед. наук, заведующий отделением рентгенологических и радиоизотопных методов исследования
129327, Москва, Ленская ул., д. 15
В. А. Черкасов
Россия
Черкасов Валерий Андреевич – канд. мед. наук, старший научный сотрудник отделения рентгенохирургических методов диагностики и лечения
115478, Москва, ул. Каширское шоссе, д. 23
С. А. Ризаева
Россия
Ризаева Саида Алтынбаевна – аспирант лаборатории экстренной хирургии и портальной гипертензии
119991, Москва, ГСП-1, Абрикосовский пер., д. 2
Список литературы
1. Bashyam M., Lepore M., Harbord M. Management of cirrhotic ascites. Br. J. Hosp. Med. 2015; 76 (2): 28–32. https://doi.org/10.12968/hmed.2015.76.2.C28
2. EASL clinical practice guidelines on the management of ascites, spontaneous bacterial peritonitis, and hepatorenal syndrome in cirrhosis. J. Hepatol. 2010; 53 (3): 397–417. https://doi.org/10.1016/j.jhep.2010.05.004
3. KASL clinical practice guidelines for liver cirrhosis: ascites and related complications. Clin. Mol. Hepatic. 2018; 24 (3): 230–277. https://doi.org/10.3350/cmh.2018.1005.
4. Фандеев Е.Е., Любивый Е.Д., Гонсалвес Гонсалез Д., Сысоева Е.П., Киценко Е.А. Внепеченочная портальная гипертензия и тромбоз воротной вены (обзор литературы). Анналы хирургической гепатологии. 2015; 20 (1): 45–58. https://doi.org/10.16931/1995-5464.2015145-58
5. Hernandez-Gea V., De Gottardi A., Leebeek F.W.G., Rautou P.E., Salem R., Garcia-Pagan J.C. Current knowledge in pathophisiology and management of Budd-Chiari syndrome and non-cirrhotic non-tumoral splanchnic vein thrombosis. J. Hepatology. 2019; 71 (1): 175–199. https://doi.org/10.1016/j.jhep.2019.02.015
6. Shin N., Kim Y.H., Xu H., Zhang Q.Q., Colon Pons J.P., Kim D., Xu Y., Wu F.Y., Han S., Lee B.B., Li L.-S. Redefining Budd-Chiari syndrome: a systematic review. World J. Hepatol. 2016; 8 (16): 691–702. https://doi.org/10.4254/wjh.v8.i16.691
7. Spaander M.C., Van Buuren H.R., Hansen B.E., Janssen H.L. Ascites in patients with non-cirrhotic non-malignant extrahepatic portal vein thrombosis. Aliment. Pharmacol. Ther. 2010; 32 (4): 529–534. https://doi.org/10.1111/j.1365-2036.2007.03488.x
8. Amitrano L., Guardascione M.A., Scaglione M., Pezzullo L., Sangiuliano N., Armellino M.F., Manguso F., Margaglione M., Ames P.R.J., Iannaccone L., Grandone E., Romano L., Balzano A. Prognostic factors in noncirrhotic patients with splanchnic vein thromboses. Am. J. Gastroenterol. 2007; 102 (11): 2464–2470. https://doi.org/10.1111/j.1572-0241.2007.01477.x
9. Spaander M.C., Van Buuren H.R., Janssen H.L. Non-cirrhotic non-malignant portal vein thrombosis: a review on management of non-cirrhotic non-malignant portal vein thrombosis and the concurrent portal hypertension compli cations in adults. Aliment. Pharmacol. Ther. 2007; 26 (2): 203–209. https://doi.org/10.1111/j.1365-2036.2007.03488.x
10. Yamazaki T., Ochi Y., Tanaka N., Watanabe T., Iwaya Y., Seki A., Hara E., Tanaka E., Watanabe T., Imai S., Hasebe O. Massive ascites caused by intra-pancreatic arterioportal fistula: a rare complication of chronic pancreаtitis. Clin. J. Gastroenterol. 2017; 10 (1): 73–78. https://doi.org/10.10007/s12328-016-0702-3
11. Popovic D. D.j., Spuran M., Davidovic L., Alempijevic M., Uglijesic M., Banzic I., Jadranin D., Kovacevic N., Perisic M., Colic M., Krstic M. Portal hypertension caused by postoperative superior mesenteric arteriovenous fistula. Vojnos. pregl. 202l; 69 (7): 623–626. PMID: 22838176
12. Garret H.E. Jr., Mack L. Coil embolization of spontaneous splenic arteriovenous fistula for treatment of portal hypertension. Am. J. Case Report. 2017; 18: 386–390. https://doi.org/10.12659/ajcr.901845
13. Grujic D., Knezevic A., Vojvodic S., Grujic B. Superior mesenteric arteriovenous presenting with massive lethal upper gastrointestinal bleeding 14 years after small bowel resection. Balcan Med. J. 2015; 32 (2): 214–217. https://doi.org/10.5152/balcаnmedj.2015.15608
14. Nie L., Luo X.F., Li X. Gastrointestinal bleeding caused by extrahepatic arterioportal fistula associated with portal vein thrombosis. World J. Gastroenterol. 2012; 18 (44): 6501–6503. https://doi.org/10.3748/wjg.v18.i44.6501
15. Zhao R., Lu J., Shi Y., Zhao H., Sheng Y. Current management of refractory ascites in patients with cirrhosis. J. Int. Med. Res. 2018; 46 (3): 1138–1145. https://doi.org/10.1177/0300060517735231
16. Adebayo D., Neong S.F., Wong F. Refractory ascites in liver cirrhosis. Am. J. Gastroenterol. 2019; 114 (1): 40–47. https://doi.org/10.1038/s41395-018-0185-6
17. Correa-Martin L., Castellanos G., Garsia-Lindo M., DiazGuemes I., Pinero A., Sanchez-Margallo F.M. Intra-abdominal hypertension: effects on the splanchnic circulation. Preliminary study in a model of ascites. Gastroenterol. Hepatol. 2014; 37 (2): 51–57. https://doi.org/10.1016/j.gastrohep.2013.08.002
18. Rogers W.K., Garcia L. Intraabdominal hypertension, abdominal compartment syndrome, and the open abdomen. Chest. 2018; 153 (1): 238–250. https://doi.org/10.1016/chest.2017.07.023
19. Манукьян Г.В., Шерцингер А.Г. Дифференцированное хирургическое лечение портальной гипертензии и ее осложнений у больных циррозом печени. Часть I. Оценка тяжести течения заболевания и выбор метода хирургического вмешательства. Анналы хирургической гепатологии. 2015; 20 (1): 14–23. https://doi.org/10.16931/1995-5464.2015114-23
Дополнительные файлы
|
|
1. КТ-ангиография с 3D-реконструкцией сосудов | |
| Тема | ||
| Тип | Исследовательские инструменты | |
Посмотреть
(1MB)
|
Метаданные ▾ | |
|
|
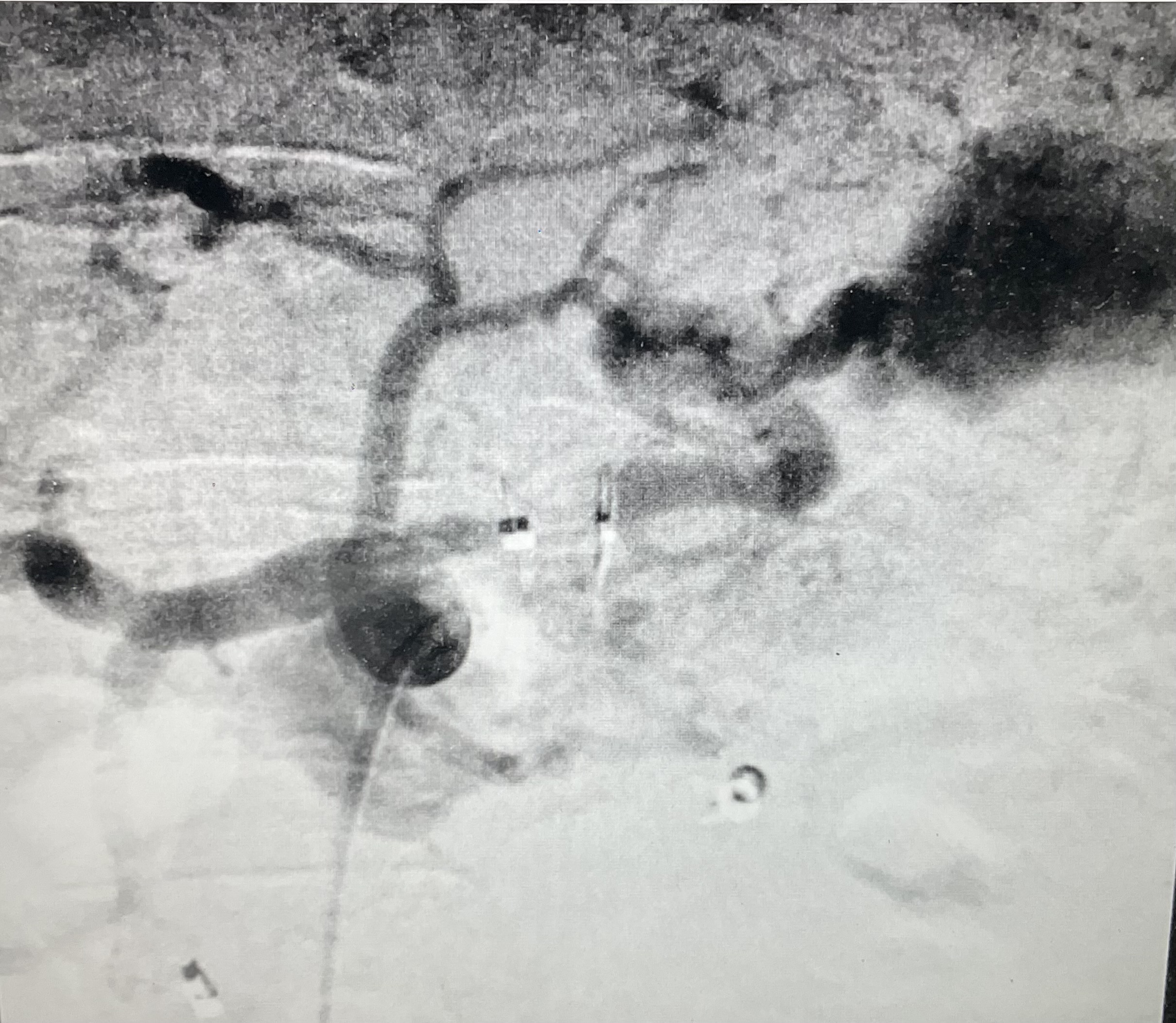
2. Целиакография. Определяются коллатерали от левой желудочной артерии к дистальной части селезеночной артерии | |
| Тема | ||
| Тип | Исследовательские инструменты | |
Посмотреть
(1MB)
|
Метаданные ▾ | |
|
|
3. Заполнение дистальной части селезеночной артерии через множественные коллатерали при контрастировании а. gastroduodenalis | |
| Тема | ||
| Тип | Исследовательские инструменты | |
Посмотреть
(1MB)
|
Метаданные ▾ | |
|
|
4. Стентирование нижней полой вены и правой печеночной вены. | |
| Тема | ||
| Тип | Исследовательские инструменты | |
Посмотреть
(1MB)
|
Метаданные ▾ | |
|
|
5. Визуализация эндоваскулярного вмешательства при КТ-ангиографии с 3D-реконструкции сосудов | |
| Тема | ||
| Тип | Исследовательские инструменты | |
Посмотреть
(734KB)
|
Метаданные ▾ | |
|
|
6. Выделение поджелудочной железы с конгломератом, образованным кистой, артерии-венозным соустьем и аневризмой селезеночной вены. Перевязка селезеночной артерии дистальнее окклюдера | |
| Тема | ||
| Тип | Исследовательские инструменты | |
Посмотреть
(1MB)
|
Метаданные ▾ | |
|
|
7. Ложе удаленного конгломерата и дистального отдела поджелудочной железы. Обнаружение гипертрофированной добавочной селезенки. | |
| Тема | ||
| Тип | Исследовательские инструменты | |
Посмотреть
(1MB)
|
Метаданные ▾ | |
|
|
8. Макропрепарат: киста поджелудочной железы с аневризмой культи селезеночной вены, частично заполненной пристеночным тромбом. Артерио-венозная фистула. | |
| Тема | ||
| Тип | Исследовательские инструменты | |
Посмотреть
(824KB)
|
Метаданные ▾ | |
|
|
9. Фото больной через год после операции | |
| Тема | ||
| Тип | Исследовательские инструменты | |
Посмотреть
(770KB)
|
Метаданные ▾ | |
Рецензия
Для цитирования:
Манукьян Г.В., Мусин Р.А., Лебезев В.М., Жигалова С.Б., Киценко Е.А., Буренчев Д.В., Черкасов В.А., Ризаева С.А. Резистентный асцит сложного генеза при тяжелой сочетанной форме внепеченочной портальной гипертензии. Анналы хирургической гепатологии. 2022;27(1):87-93. https://doi.org/10.16931/1995-5464.2022-1-87-93
For citation:
Manukyan G.V., Musin R.A., Lebezev V.M., Zhigalova S.B., Kitsenko E.A., Burenchev D.V., Cherkasov V.A., Rizaeva S.A. Refractory ascites of complex genesis in patients with a severe combined form of extrahepatic portal hypertension. Annaly khirurgicheskoy gepatologii = Annals of HPB Surgery. 2022;27(1):87-93. (In Russ.) https://doi.org/10.16931/1995-5464.2022-1-87-93
























