Минимально инвазивное лечение при эхинококковых кистах печени, осложнившихся прорывом в желчные протоки
https://doi.org/10.16931/1995-5464.2022-1-94-100
Аннотация
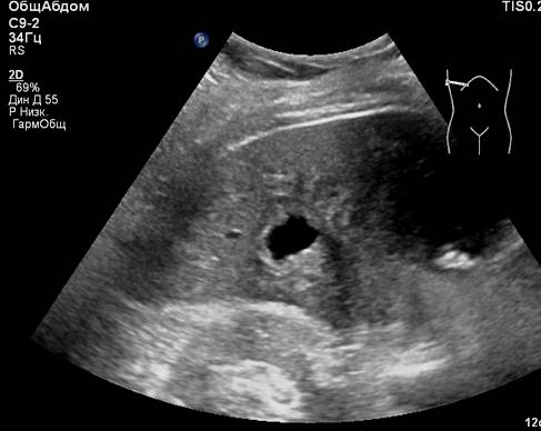
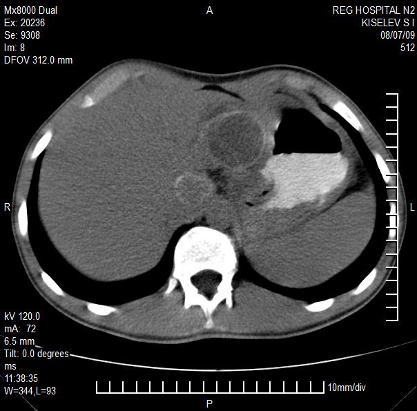
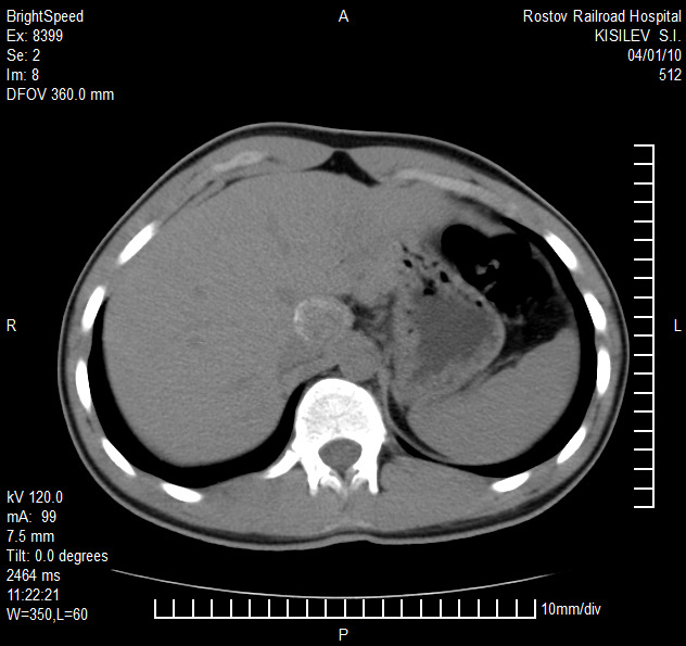
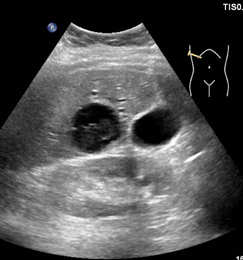
Представлены клинические наблюдения редкого осложнения эхинококкоза печени – прорыва эхинококковой кисты в желчные протоки. Осложнение стало причиной обструкции желчных протоков, механической желтухи и холангита. Освещены этапы диагностики, роль УЗИ в выявлении осложнений эхинококкоза печени, рассмотрены способы минимально инвазивного лечения с применением эндоскопических и чрескожных технологий под контролем лучевых методов.
Об авторах
Я. П. КиртанасовРоссия
Киртанасов Яков Павлович – канд. мед. наук, заведующий отделением рентгенохирургических методов диагностики и лечения
344029, Ростов-на-Дону, ул. 1-й Конной Армии, д. 33
А. В. Андреев
Россия
Андреев Андрей Викторович – доктор мед. наук, заведующий отделением рентгенохирургических и ультразвуковых методов диагностики и лечения, Краснодар, профессор кафедры хирургии
350012, Краснодар, ул. Красных Партизан, д. 6/2; 350063, Краснодар, ул. им. Митрофана Седина, д. 4
В. М. Дурлештер
Россия
Дурлештер Владимир Моисеевич – доктор мед. наук, профессор, заместитель главного врача по хирургии, заведующий кафедрой хирургии
350012, Краснодар, ул. Красных Партизан, д. 6/2; 350063, Краснодар, ул. им. Митрофана Седина, д. 4
С. А. Габриэль
Россия
Габриэль Сергей Александрович – доктор мед. наук, главный врач ГБУЗ, профессор кафедры хирургии
350012, Краснодар, ул. Красных Партизан, д. 6/2; 350063, Краснодар, ул. им. Митрофана Седина, д. 4
Л. Г. Измайлова
Россия
Измайлова Лаура Геннадиевна – канд. мед. наук, врач ультразвуковой диагностики отделения рентгенохирургических и ультразвуковых методов диагностики и лечения, Краснодар, ассистент кафедры лучевой диагностики
350012, Краснодар, ул. Красных Партизан, д. 6/2; 350063, Краснодар, ул. им. Митрофана Седина, д. 4
Список литературы
1. Vishnevskiĭ V.A., Efanov M.G., Ikramov R.Z., Nazarenko N.A., Chzhao A.V. Surgery of liver hydatid cyst. Russian Journal of Evidence-Based Gastroenterology. 2013; 2 (2): 18–25. (In Russian)
2. Shevchenko Yu.L., Nazyrov F.G. Khirurgiya ehkhinokokkoza [Echinococcosis surgery]. Moscow: Publishing house Dinastiya, 2016. 288 p. (In Russian)
3. Shevchenko Yu.L., Nazyrov F.G., Akbarov M.M., Saidazimov E.M., Sirozhitdinov K.K. Modern aspects of surgery of the complicated liver echinococcosis. Bulletin of Pirogov National Medical & Surgical Center. 2018; 13 (4): 29–34. https:// doi.org/10.25881/BPNMSC.2018.56.85.005 (In Russian)
4. Abdullaev A.G., Movchun A.A., Agaev R.M. Surgical techniques for the treatment of hepatic hydatid disease complicated by bile ducts obstruction. Pirogov Russian Journal of Surgery = Khirurgiya. Zhurnal im. N.I. Pirogova. 2005; 2: 38–42. (In Russian)
5. Makhmadov F.I., Daminova N.M. Results of surgical treatment of patients with liver echinococcosis complicated with obturation jaundice. Avicenna Bulletin. 2010; 43 (2): 29–33. https://doi.org/10.25005/2074-0581-2010-12-2-29-33
6. Hadzhibaev A.M., Anvarov H.E., Hashimov M.A. Diagnostics and treatment of liver echinococcosis complicated by rupture into the biliary tract. The Bulletin of Emergency Medicine. 2010; 4: 15–18.
7. Makhmadov F.I., Kurbonov K.M., Daminova N.M. Choice of surgical treatment tactics for complicated hepatic hydatid disease. News of the Academy of Sciences of the Republic of Tajikistan. Department of Biological and Medical Sciences. 2010; 1: 72–78. (In Russian)
8. Vetshev P.S., Musaev G.K., Fat'yanova A.S. Echinococcosis: the unchangable principles and modern trends. Annaly khirurgicheskoy gepatologii = Annals of HPB Surgery. 2015; 20 (3): 47–53. https://doi.org/10.16931/1995-5464.2015347-53 (In Russian)
9. Кaniyev Sh.A., Baimakhanov Zh.B., Doskhanov M.O., Nurlanbayev Ye.K., Serikuly E., Birzhanbekov N.N., Skakbayev A.S., Baiguisova D.Z., Barlybai R.A., Sadykov Ch.T., Musakhanova Z.Zh., Turgan A.G., Chormanov A.T., Kausova G.K., Medeubekov U.Sh., Seisenbayev M.A., Baimakhanov B.B. Current approaches to liver echinococcosis management (review). Annaly khirurgicheskoy gepatologii = Annals of HPB Surgery. 2018; 23 (3): 47–56. https://doi.org/10.16931/1995-5464.2018347-56 (In Russian)
10. Azizzoda Z.A., Kurbonov K.M., Ruziboyzoda K.R., AliZade S.G. Efficiency of minimally invasive surgery for liver echinococcosis and its complications. Annaly khirurgicheskoy gepatologii = Annals of HPB Surgery. 2021; 26 (1): 84–91. https://doi.org/10.16931/1995-5464.2021184-91 (In Russian)
11. Karpov O.E., Vetshev P.S., Bruslik S.V., Sviridova T.I., Bruslik D.S. Miniinvasive navigation technologies in multi-field medical institution the modern state and prospects. Annaly khirurgicheskoy gepatologii = Annals of HPB Surgery. 2017; 22 (1): 100–111. https://doi.org/10.16931/1995-5464.20171100- 111 (In Russian)
Дополнительные файлы
|
|
1. Неозаглавлен | |
| Тема | ||
| Тип | Прочее | |
Посмотреть
(85KB)
|
Метаданные ▾ | |
|
|
2. Неозаглавлен | |
| Тема | ||
| Тип | Прочее | |
Посмотреть
(96KB)
|
Метаданные ▾ | |
|
|
3. Неозаглавлен | |
| Тема | ||
| Тип | Прочее | |
Посмотреть
(65KB)
|
Метаданные ▾ | |
|
|
4. Неозаглавлен | |
| Тема | ||
| Тип | Прочее | |
Посмотреть
(60KB)
|
Метаданные ▾ | |
|
|
5. Неозаглавлен | |
| Тема | ||
| Тип | Прочее | |
Посмотреть
(56KB)
|
Метаданные ▾ | |
|
|
6. Неозаглавлен | |
| Тема | ||
| Тип | Прочее | |
Посмотреть
(52KB)
|
Метаданные ▾ | |
|
|
7. Неозаглавлен | |
| Тема | ||
| Тип | Прочее | |
Посмотреть
(65KB)
|
Метаданные ▾ | |
|
|
8. Неозаглавлен | |
| Тема | ||
| Тип | Прочее | |
Посмотреть
(85KB)
|
Метаданные ▾ | |
|
|
9. Неозаглавлен | |
| Тема | ||
| Тип | Прочее | |
Посмотреть
(80KB)
|
Метаданные ▾ | |
|
|
10. Неозаглавлен | |
| Тема | ||
| Тип | Прочее | |
Посмотреть
(51KB)
|
Метаданные ▾ | |
|
|
11. Неозаглавлен | |
| Тема | ||
| Тип | Прочее | |
Посмотреть
(22KB)
|
Метаданные ▾ | |
|
|
12. Неозаглавлен | |
| Тема | ||
| Тип | Прочее | |
Посмотреть
(31KB)
|
Метаданные ▾ | |
|
|
13. Неозаглавлен | |
| Тема | ||
| Тип | Прочее | |
Посмотреть
(27KB)
|
Метаданные ▾ | |
|
|
14. Неозаглавлен | |
| Тема | ||
| Тип | Прочее | |
Посмотреть
(26KB)
|
Метаданные ▾ | |
|
|
15. Неозаглавлен | |
| Тема | ||
| Тип | Прочее | |
Посмотреть
(29KB)
|
Метаданные ▾ | |
|
|
16. Неозаглавлен | |
| Тема | ||
| Тип | Прочее | |
Посмотреть
(23KB)
|
Метаданные ▾ | |
Рецензия
Для цитирования:
Киртанасов Я.П., Андреев А.В., Дурлештер В.М., Габриэль С.А., Измайлова Л.Г. Минимально инвазивное лечение при эхинококковых кистах печени, осложнившихся прорывом в желчные протоки. Анналы хирургической гепатологии. 2022;27(1):94-100. https://doi.org/10.16931/1995-5464.2022-1-94-100
For citation:
Kirtanasov I.P., Andreev A.V., Durleshter V.M., Gabriel S.A., Izmailova L.G. Minimally invasive treatment of hepatic hydatid cysts complicated by the rupture into the biliary tract. Annaly khirurgicheskoy gepatologii = Annals of HPB Surgery. 2022;27(1):94-100. (In Russ.) https://doi.org/10.16931/1995-5464.2022-1-94-100
























