Preview

Анналы хирургической гепатологии

Расширенный поиск

Сравнительный анализ эффективности КТ и контрастно-усиленного УЗИ в диагностике метастазов колоректального рака в печени

https://doi.org/10.16931/1995-5464.2022-1-22-32

Аннотация

Цель. Уточнить ультразвуковую семиотику контрастирования метастазов колоректального рака в печени и провести сравнительный анализ эффективности КТ с контрастным усилением и контрастно-усиленного УЗИ в их диагностике.

Материал и методы. Обследовали 40 пациентов, проходивших лечение по поводу колоректального рака и с впервые диагностированным колоректальным раком. Всем пациентам выполняли контрастно-усиленное УЗИ и КТ с контрастным усилением. При подозрении злокачественного характера образования выполняли трепан-биопсию и морфологическое исследование.

Результаты. Определена сопоставимая высокая диагностическая эффективность контрастно-усиленного УЗИ и КТ с контрастным усилением. Чувствительность контрастно-усиленного УЗИ при определении злокачественности составила 93,3%, специфичность – 90%, прогностическая ценность положительного результата – 96,55%, прогностическая ценность отрицательного результата – 81,82%, точность – 92,5%. Чувствительность КТ с контрастированием составила 93,3%, специфичность – 80%, прогностическая ценность положительного результата – 93,33%, прогностическая ценность отрицательного результата – 80%, точность – 92,5%.

Выводы. При наличии противопоказаний к КТ с контрастным усилением контрастно-усиленное УЗИ может быть альтернативным методом дифференциальной диагностики новообразований печени у больных колоректальным раком.

Об авторах

Е. А. Бусько
ФГБУ “Научный медицинский исследовательский центр онкологии им. Н.Н. Петрова”; ФГБОУ ВО “Санкт-Петербургский государственный университет”
Россия

Бусько Екатерина Александровна – доктор мед. наук, доцент, ведущий научный сотрудник научного отделения диагностической и интервенционной радиологии; доцент

197758, Санкт-Петербург, пос. Песочный, ул. Ленинградская, д. 68; 199034, Санкт-Петербург, Университетская наб., д. 7/9



К. В. Козубова
ФГБУ “Научный медицинский исследовательский центр онкологии им. Н.Н. Петрова”
Россия

Козубова Ксения Вячеславовна – аспирант научного отделения диагностической и интервенционной радиологии

197758, Санкт-Петербург, пос. Песочный, ул. Ленинградская, д. 68



С. С. Багненко
ФГБУ “Научный медицинский исследовательский центр онкологии им. Н.Н. Петрова”; ФГБОУ ВО “Санкт-Петербургский государственный педиатрический медицинский университет”
Россия

Багненко Сергей Сергеевич – доктор мед. наук, доцент, заведующий – ведущий научный сотрудник научного отделения диагностической и интервенционной радиологии ФГБУ “НМИЦ онкологии им. Н.Н. Петрова”, профессор кафедры современных методов диагностики и радиолучевой терапии 

197758, Санкт-Петербург, пос. Песочный, ул. Ленинградская, д. 68; 194100, Санкт-Петербург, ул. Литовская, д. 2



А. М. Карачун
ФГБУ “Научный медицинский исследовательский центр онкологии им. Н.Н. Петрова”
Россия

Карачун Алексей Михайлович – доктор мед. наук, доцент, заведующий отделением абдоминальной онкологии, руководитель научного отделения опухолей желудочно-кишечного тракта

197758, Санкт-Петербург, пос. Песочный, ул. Ленинградская, д. 68



И. А. Буровик
ФГБУ “Научный медицинский исследовательский центр онкологии им. Н.Н. Петрова”
Россия

Буровик Илья Александрович – канд. мед. наук, научный сотрудник научного отделения диагностической и интервенционной радиологии

197758, Санкт-Петербург, пос. Песочный, ул. Ленинградская, д. 68



А. Б. Гончарова
ФГБОУ ВО “Санкт-Петербургский государственный университет”
Россия

Гончарова Анастасия Борисовна – канд. физ.-мат. наук, старший преподаватель кафедры теории систем управления электрофизической аппаратурой

199034, Санкт-Петербург, Университетская наб., д. 7/9



Е. В. Костромина
ФГБУ “Научный медицинский исследовательский центр онкологии им. Н.Н. Петрова”; ФГБОУ ВО “Санкт-Петербургский государственный педиатрический медицинский университет”
Россия

Костромина Екатерина Викторовна – канд. мед. наук, доцент кафедры лучевой диагностики и биомедицинской визуализации; старший научный сотрудник научного отделения диагностической и интервенционной радиологии

197758, Санкт-Петербург, пос. Песочный, ул. Ленинградская, д. 68; 194100, Санкт-Петербург, ул. Литовская, д. 2



Р. А. Кадырлеев
ФГБУ “Научный медицинский исследовательский центр онкологии им. Н.Н. Петрова”
Россия

Кадырлеев Роман Андреевич – аспирант научного отделения диагностической и интервенционной радиологии

197758, Санкт-Петербург, пос. Песочный, ул. Ленинградская, д. 68



И. Х. Курганская
ФГБУ “Научный медицинский исследовательский центр онкологии им. Н.Н. Петрова”
Россия

Курганская Индира Хидирнабиевна – врач ультразвуковой диагностики отделения лучевой диагностики

197758, Санкт-Петербург, пос. Песочный, ул. Ленинградская, д. 68



Л. Н. Шевкунов
ФГБУ “Научный медицинский исследовательский центр онкологии им. Н.Н. Петрова”
Россия

Шевкунов Лев Николаевич – канд. мед. наук, старший научный сотрудник научного отделения диагностической и интервенционной радиологии

197758, Санкт-Петербург, пос. Песочный, ул. Ленинградская, д. 68



Список литературы

1. Sung H., Ferlay J., Siegel R.L., Laversanne M., Soerjomataram I., Jemal A., Bray F. Global Cancer Statistics 2020: GLOBOCAN estimates of incidence and mortality worldwide for 36 cancers in 185 countries. CA Cancer J. Clin. 2021; 71 (3): 209–249. https://doi.org/10.3322/caac.21660

2. Ковалева Е.В., Синюкова Г.Т., Данзанова Т.Ю., Лепэдату П.И., Гудилина Е.А. Возможности УЗИ с применением контрастного усиления в диагностике метастазов в печени у больных колоректальным раком. Колопроктология. 2018; 1: 36–41. https://doi.org/10.33878/2073-7556-2018-0-1-36-41

3. Горчаков С.В., Правосудов И.В., Васильев С.В., Олейник В.В., Попов Д.Е., Голубев К.В., Жуков О.А. Современные подходы к лечению больных колоректальным раком с метастазами в печень: обзор литературы. Вестник Санкт-Петербургского университета. Медицина. 2015; 3: 55–68.

4. Engstrand J., Nilsson H., Strömberg C., Jonas E., Freedman J. Colorectal cancer liver metastases – a population-based study on incidence, management and survival. BMC Cancer. 2018; 18 (1): 78. https://doi.org/10.1186/s12885-017-3925-x

5. Engstrand J., Strömberg C., Nilsson H., Freedman J., Jonas E. Synchronous and metachronous liver metastases in patients with colorectal cancer – towards a clinically relevant definition. World J. Surg. Oncol. 2019; 17 (1): 228. https://doi.org/10.1186/s12957-019-1771-9

6. Auer T.A., Fischer T., Garcia S., Penzkofer T., Jung E.M., Hamm B., Lerchbaumer M.H. Value of contrast-enhanced ultrasound (CEUS) in Focal Liver Lesions (FLL) with inconclusive findings on cross-sectional imaging. Clin. Hemorheol. Microcirc. 2020; 74 (3): 327–339. https://doi.org/10.3233/CH-190718

7. Багненко С.С., Ефимцев А.Ю., Железняк И.С., Латышева А.Я., Малаховский В.Н. Практическая ультразвуковая диагностика: Руководство для врачей. В 5 томах. М.: ГЭОТАР-Мед, 2016. 240 с.

8. Алексеев К.Н., Багненко С.С., Бойков И.В. Путеводитель по лучевой диагностике органов брюшной полости: атлас рентгено-, УЗ-, КТ- и МРТ-изображений. СПб.: Медкнига “ЭЛБИ”, 2014. 432 с.

9. Кармазановский Г.Г. Роль МСКТ и МРТ в диагностике очаговых заболеваний печени. Анналы хирургической гепатологии. 2019; 24 (4): 91–110. https://doi.org/10.16931/1995-5464.2019491-110

10. Тsili A.C., Alexiou G., Naka C., Argyropoulou M.I. Imaging of colorectal cancer liver metastases using contrast-enhanced US, multidetector CT, MRI, and FDG PET/CT: a metaanalysis. Acta Radiol. 2021; 62 (3): 302–312. https://doi.org/10.1177/0284185120925481

11. Агурина Н.В., Багненко С.Ф., Бахмутова Е.Е. Лучевая диагностика и терапия в гастроэнтерологии: Национальное руководство. М.: ГЭОТАР-Мед, 2014. 920 с.

12. Борсуков А.В. Контрастно-усиленное ультразвуковое исследование печени: эволюция оценок мировых экспертов с 2012 по 2020 гг. Онкологический журнал: лучевая диагнос тика, лучевая терапия. 2021; 4 (1): 20–30. https://doi.org/10.37174/2587-7593-2021-4-1-20-30

13. Müller-Peltzer K., Rübenthaler J., Negrao de Figueiredo G., Clevert D.A. CEUS-Diagnostik benigner Leber läsionen. Radiologe. 2018; 58 (6): 521–527. https://doi.org/10.1007/s00117-018-0390-8

14. Müller-Peltzer K., Rübenthaler J., Reiser M., Clevert D.A. Kontrastverstärkter Ultraschall (CEUS) der Leber: Kritische Bewertung des Einsatzes in der Routine diagnostic. Radiologe. 2017; 57 (5): 348–355. https://doi.org/10.1007/s00117-017-0225-z

15. Кадырлеев Р.А., Бусько Е.А., Костромина Е.В., Шевкунов Л.Н., Козубова К.В., Багненко С.С. Ультразвуковое исследование с контрастированием в алгоритме диагностики солидных образований почек. Лучевая диагностика и терапия. 2021; 12 (1): 14–23. https://doi.org/10.22328/2079-5343-2020-12-1-14-23

16. Dietrich C.F., Nolsøe C.P., Barr R.G., Berzigotti A., Burns P.N., Cantisani V., Chammas M.C., Chaubal N., Choi B.I., Clevert D.A., Cui X., Dong Y., D'Onofrio M., Fowlkes J.B., Gilja O.H., Huang P., Ignee A., Jenssen C., Kono Y., Kudo M., Lassau N., Lee W.J., Lee J.Y., Liang P., Lim A., Lyshchik A., Meloni M.F., Correas J.M., Minami Y., Moriyasu F., Nicolau C., Piscaglia F., Saftoiu A., Sidhu P.S., Sporea I., Torzilli G., Xie X., Zheng R. Guidelines and good clinical practice recommendations for contrast enhanced ultrasound (CEUS) in the liver –Update 2020-WFUMB in cooperation with EFSUMB, AFSUMB, AIUM and FLAUS. Ultraschall. Med. 2020; 41 (5): 562–585. https://doi.org/10.1055/a-1177-0530

17. Катрич А.Н., Порханов В.А. Ультразвуковое исследование с контрастным усилением в дифференциальной диагностике очаговых новообразований печени. Хирургия. Журнал им. Н.И. Пирогова. 2019; 6: 49–59. https://doi.org/10.17116/hirurgia201906149

18. Martin J., Petrillo A., Smyth E.C., Shaida N., Khwaja S., Cheow H.K., Duckworth A., Heister P., Praseedom R., Jah A., Balakrishnan A., Harper S., Liau S., Kosmoliaptsis V., Huguet E. Colorectal liver metastases: current management and future perspectives. World J. Clin. Oncol. 2020; 11 (10): 761–808. https://doi.org/10.5306/wjco.v11.i10.761

19. Митина Л.А., Гуц О.В., Степанов С.О., Сидоров Д.В., Петров Л.О., Ратушная В.В., Корниецкая А.Л., Соловьев Я.А., Ложкин М.В. УЗИ печени с контрастом при метастазах колоректального рака в печень. Колопроктология. 2017; (2S): 32–36. https://doi.org/10.33878/2073-7556-2017- 0-2S-32-36

20. Кадырлеев Р.А., Багненко С.С., Бусько Е.А., Костромина Е.В., Шевкунов Л.Н., Козубова К.В., Гончарова А.Б. Возможности мультипараметрического ультразвукового исследования в диагностике кистозных образований почек. Онкологический журнал: лучевая диагностика, лучевая терапия. 2021; 4 (3): 35–43. https://doi.org/10.37174/2587-7593- 2021-4-3-35-43


Дополнительные файлы

1. Рис 1. Типичные варианты ультразвуковой картины метастазов КРР в печень при УЗИ в серошкальном режиме
Тема
Тип Материалы исследования
Посмотреть (106KB)    
Метаданные ▾
2. Рис.2. Варианты контрастирования очагов в печени в различные фазы контрастирования
Тема
Тип Результаты исследования
Посмотреть (343KB)    
Метаданные ▾
3. Рис. 3. КТ сканы живота
Тема
Тип Результаты исследования
Посмотреть (76KB)    
Метаданные ▾
4. Рисунок 4. Мультипараметрическая УЗ картина метастаза КРР в печень
Тема
Тип Результаты исследования
Посмотреть (119KB)    
Метаданные ▾
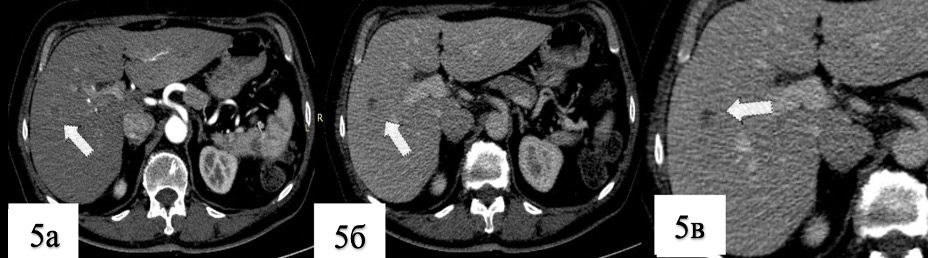
5. Риc. 5. КТ сканы живота
Тема
Тип Исследовательские инструменты
Посмотреть (82KB)    
Метаданные ▾
6. Рисунок 6. Мультипараметрическая УЗ картина метастаза КРР в печень
Тема
Тип Исследовательские инструменты
Посмотреть (128KB)    
Метаданные ▾

Рецензия

Для цитирования:


Бусько Е.А., Козубова К.В., Багненко С.С., Карачун А.М., Буровик И.А., Гончарова А.Б., Костромина Е.В., Кадырлеев Р.А., Курганская И.Х., Шевкунов Л.Н. Сравнительный анализ эффективности КТ и контрастно-усиленного УЗИ в диагностике метастазов колоректального рака в печени. Анналы хирургической гепатологии. 2022;27(1):22-32. https://doi.org/10.16931/1995-5464.2022-1-22-32

For citation:


Busko E.A., Kozubova K.V., Bagnenko S.S., Karachun A.M., Burovick I.A., Goncharova A.B., Kostromina E.V., Kadyrleev R.A., Kurganskaya I.H., Shevkunov L.N. Comparative assessment of diagnostic value of computed tomography and contrast-enhanced ultrasound in colorectal cancer liver metastases diagnosis. Annaly khirurgicheskoy gepatologii = Annals of HPB Surgery. 2022;27(1):22-32. (In Russ.) https://doi.org/10.16931/1995-5464.2022-1-22-32

Просмотров: 1574

JATS XML


Creative Commons License
Контент доступен под лицензией Creative Commons Attribution 4.0 License.


ISSN 1995-5464 (Print)
ISSN 2408-9524 (Online)