Эфферентное кровоснабжение правой доли печени в аспекте ее трансплантации от живого донора: вариантная анатомия, классификация. Часть 1
https://doi.org/10.16931/1995-5464.2023-1-10-24
Аннотация
Цель. Описание новых и дополнение имеющихся сведений об анатомических особенностях строения печеночных вен у донора правой доли печени, формулировка принципов подбора доноров, исходя из сосудистой анатомии.
Материал и методы. В ФГБУ ГНЦ ФМБЦ им. А.И. Бурназяна с 2009 по 2021 г. проведено 306 трансплантаций печени от живого родственного донора. Анализировали сосудистую анатомию 518 потенциальных доноров. Провели оценку распространенности разных вариантов строения вен правой доли печени.
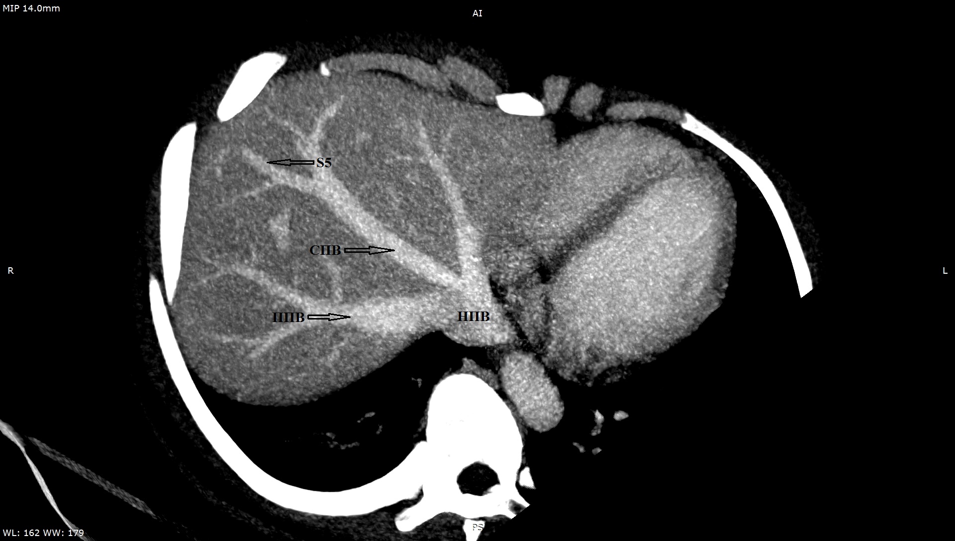
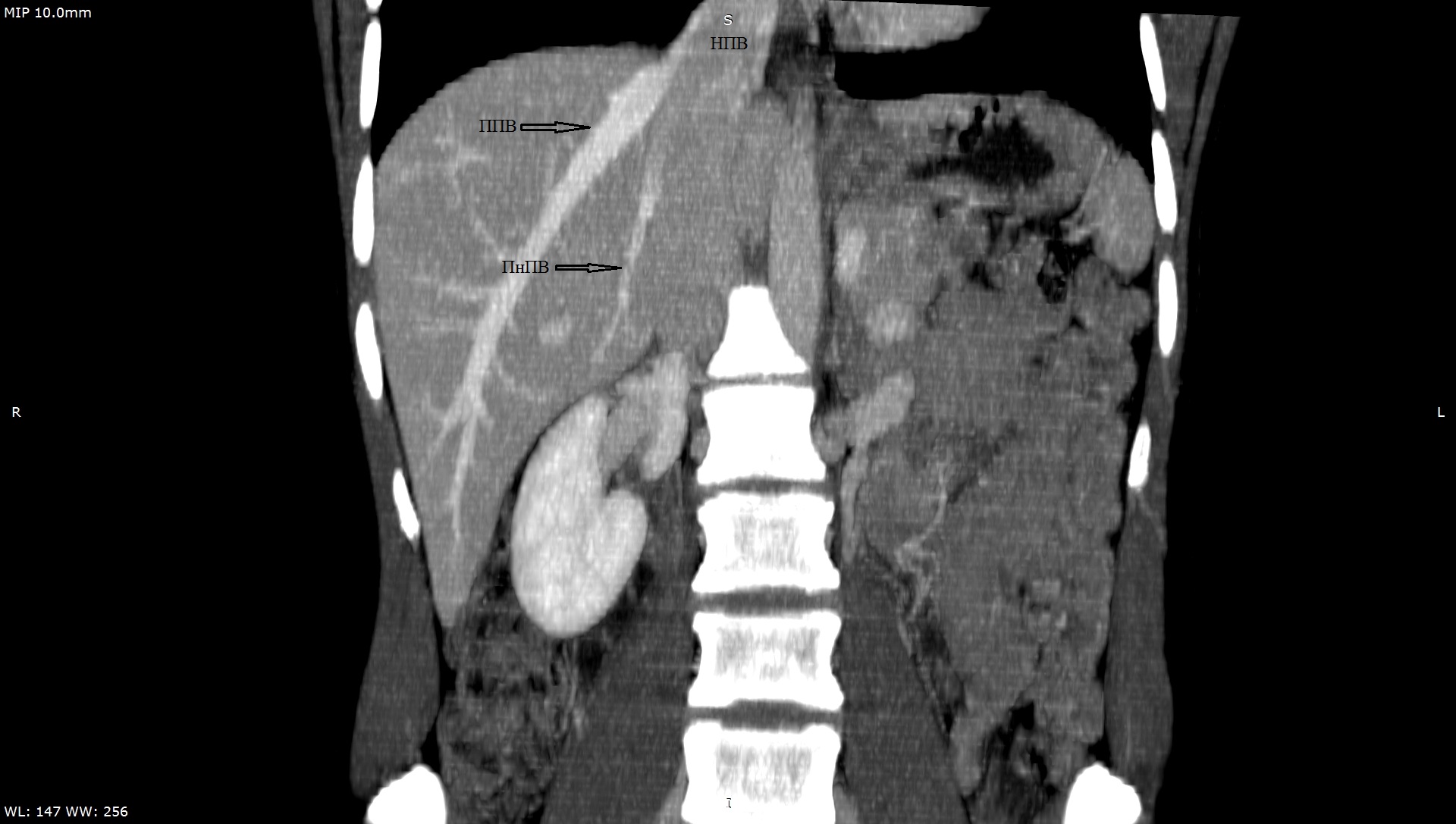
Результаты. Выявлено 14 подтипов анатомии эфферентных сосудов. Их классифицировали в 3 типа в зависимости от вклада срединной вены в отток крови от правой доли печени: кавальный (67,3%), кава-срединный (полусепаратный, 29%) и сепаратный (3,6%).
Заключение. Анатомия эфферентных сосудов трансплантата правой доли печени отличается вариабельностью и сложностью. Это требует точной оценки на дооперационном этапе при КТ для обеспечения готовности к реконструкции любой сложности.
Ключевые слова
Об авторах
С. Э. ВосканянРоссия
Восканян Сергей Эдуардович – доктор мед. наук, профессор, член-корр. РАН, заведующий кафедрой хирургии с курсами онкохирургии, эндоскопии, хирургической патологии, клинической трансплантологии и органного донорства, заместитель главного врача по хирургической помощи, руководитель центра хирургии и трансплантологии
123098, Москва, ул. Маршала Новикова, д. 23
И. Ю. Колышев
Россия
Рук.Центра Новых Хирургических технологий зав.отделением хирургии №1
123098, Москва, ул. Маршала Новикова, д. 23
Тел.: +7-905-573-53-57
А. Н. Башков
Россия
Башков Андрей Николаевич – канд. мед. наук, заведующий отделением лучевой и радиоизотопной диагностики
123098, Москва, ул. Маршала Новикова, д. 23
А. И. Артемьев
Россия
Артемьев Алексей Игоревич – канд. мед. наук, заведующий хирургическим отделением центра хирургии и трансплантологии
123098, Москва, ул. Маршала Новикова, д. 23
В. С. Рудаков
Россия
Рудаков Владимир Сергеевич – канд. мед. наук, врач-хирург центра хирургии и трансплантологии
123098, Москва, ул. Маршала Новикова, д. 23
М. В. Шабалин
Россия
Шабалин Максим Вячеславович – канд. мед. наук, врач-хирург центра хирургии и трансплантологии
123098, Москва, ул. Маршала Новикова, д. 23
А. П. Мальцева
Россия
Мальцева Анна Погосовна – врач-хирург центра хирургии и трансплантологии
123098, Москва, ул. Маршала Новикова, д. 23
М. В. Попов
Россия
Попов Максим Васильевич – врач по рентгенэндоваскулярным диагностике и лечению отделения рентгенохирургических методов диагностики и лечения
123098, Москва, ул. Маршала Новикова, д. 23
А. И. Сушков
Россия
Сушков Александр Игоревич – заведующий лабораторией новых хирургических технологий
123098, Москва, ул. Маршала Новикова, д. 23
Г. В. Вохмянин
Россия
Вохмянин Георгий Владимирович – врач-хирург центра хирургии и трансплантологии
123098, Москва, ул. Маршала Новикова, д. 23
Список литературы
1. Восканян С.Э., Артемьев А.И., Найденов Е.В., Колышев И.Ю., Забежинский Д.А., Шабалин М.В., Башков А.Н., Григорьева О.О., Щербин В.В., Журбин А.С. ALPPS в преодолении малого остаточного объема печени при альвеококкозе. Анналы хирургической гепатологии. 2018;23(4):21-32. https://doi.org/10.16931/1995-5464.2018421-32
2. https://doi.org/10.16931/1995-5464.2018421-32
3. Готье С.В., Монахов А.Р., Цирульникова О.М., Зубенко С.И., Ситникова Е.В., Умрик Д.В., Носов К.А., Куртак Н.Д. Результаты трансплантации печени при гепатоцеллюлярном раке: опыт одного центра. Анналы хирургической гепатологии. 2020;25(2):67-76. https://doi.org/10.16931/1995-5464.2020267-76
4. 2004 Annual Report of the U.S. Organ Procurement and Transplantation Network and the Scientific Registry of Transplant Recipients. Department of Health and Human Serves, Health Resources and Services Administration, Healthcare Systems Bureau, Division of Transplantation, Rockville, MD; United Network for Organ Sharing, Richmond, VA. Available online: http://optn.transplant.hrsa.gov/data/view-data-reports/national-data. May 2020.
5. Canadian Institute for Health Information. Treatment of End-State Organ Failure in Canada, Canadian Organ Replacement Register, 2009-2019: Extra-renal Transplants-Data Tables. Ottawa, ON: CIHI, 2019
6. Goldaracena N., Barbas A.S. Living donor liver transplantation. Curr. Opin. Organ Transplant. 2019 Apr; 24(2):131-137. doi: 10.1097/MOT.0000000000000610. PMID: 30694993.
7. Brown R.S. Jr., Russo M.W., Lai M., Shiffman M.L., Richardson M.C., Everhart J.E., Hoofnagle J.H. A survey of liver transplantation from living adult donors in the United States. N. Engl. J. Med. 2003 Feb 27;348(9):818-25. doi: 10.1056/NEJMsa021345. PMID: 12606737.
8. Nakamura T., Tanaka K., Kiuchi T., Kasahara M., Oike F., Ueda M., Kaihara S., Egawa H., Ozden I., Kobayashi N., Uemoto S. Anatomical variations and surgical strategies in right lobe living donor liver transplantation: lessons from 120 cases. Transplantation. 2002; Jun 27;73(12):1896-903. DOI: 10.1097/00007890-200206270-00008
9. Soyer P., Bluemke D.A., Choti M.A., Fishman E.K. Variations in the intrahepatic portions of the hepatic and portal veins: findings on helical CT scans during arterial portography. AJR Am J Roentgenol 1995; 164: 103–8. doi: 10.2214/ajr.164.1.7998521
10. Orguc S., Tercan M., Bozoklar A., Akyildiz M., Gurgan U., Celebi A., Nart D., Karasu Z., Icoz G., Zeytunlu M., Yuzer Y., Tokat Y., Kilic M. Variations of hepatic veins: helical computerized tomography experience in 100 consecutive living liver donors with emphasis on right lobe. Transplant Proc. 2004 Nov; 36(9):2727-32. doi: 10.1016/j.transproceed.2004.10.006. PMID: 15621134.
11. Hirai I., Kimura W., Fuse A., Yamamoto T., Moriya T., Mizutani M. Evaluation of inferior right hepatic vein-preserving hepatectomy with resection of the superior right hepatic vein. Hepatogastroenterology. 2006 Jul-Aug;53(70):516-20. PMID: 16995452.
12. Varotti G., Gondolesi G.E., Goldman J., Wayne M., Florman S.S., Schwartz M.E., Miller C.M., Sukru E. Anatomic variations in right liver living donors. J Am Coll Surg. 2004 Apr;198(4):577-82. doi: 10.1016/j.jamcollsurg.2003.11.014. PMID: 15051012.
13. Tan C.H.N., Hwang S., Bonney G.K., Ganpathi I.S., Madhavan K., Kow W.C.A. The influence of the middle hepatic vein and its impact on outcomes in right lobe living donor liver transplantation. HPB (Oxford). 2019 May; 21(5):547-556. doi: 10.1016/j.hpb.2018.09.003. Epub 2018 Oct 4. PMID: 30292529.
14. Guo H.J., Wang K., Chen K.C., Liu Z.K., Al-Ameri A., Shen Y., Xu X., Zheng S.S. Middle hepatic vein reconstruction in adult right lobe living donor liver transplantation improves recipient survival. Hepatobiliary Pancreat. Dis. Int. 2019 Apr;18(2):125-131. doi: 10.1016/j.hbpd.2019.01.006. Epub 2019 Jan 31. PMID: 30738719.
15. Gyu Lee S., Min Park K., Hwang S., Hun Kim K., Nak Choi D., Hyung Joo S., Soo Anh C., Won Nah Y., Yeong Jeon J., Hoon Park S., Suck Koh K., Hoon Han S., Taek Choi K., Sam Hwang K., Sugawara Y., Makuuchi M., Chul Min P. Modified right liver graft from a living donor to prevent congestion. Transplantation. 2002 Jul 15; 74(1):54-9. doi: 10.1097/00007890-200207150-00010. PMID: 12134099.
16. De Cecchis L., Hribernik M., Ravnik D., Gadzijev E.M. Anatomical variations in the pattern of the right hepatic veins: possibilities for type classification. J. Anat. 2000 Oct; 197 Pt 3(Pt 3):487-93. doi: 10.1046/j.1469-7580.2000.19730487.x. PMID: 11117632; PMCID: PMC1468147.
17. Radtke A., Schroeder T., Sotiropoulos G.C., Molmenti E., Schenk A., Paul A., Nadalin S., Lang H., Saner F., Peitgen H.O., Broelsch C.E., Malagò M. Anatomical and physiological classification of hepatic vein dominance applied to liver transplantation. Eur. J. Med. Res. 2005 May 20; 10(5):187-94. PMID: 15946917.
18. Inomata Y, Uemoto S, Asonuma K, Egawa H. Right lobe graft in living donor liver transplantation. Transplantation. 2000 Jan 27;69(2):258-64. doi: 10.1097/00007890-200001270-00011. PMID: 10670636.
19. Ito K., Akamatsu N., Tani K., Ito D., Kaneko J., Arita J., Sakamoto Y., Hasegawa K., Kokudo N. Reconstruction of Hepatic Venous Tributary in Right Liver Living Donor Liver Transplantation: The Importance of the Inferior Right Hepatic Vein Liver. Transpl. 2016; Apr;22(4):410-9. DOI: 10.1002/lt.24386.
20. Hwang S., Ahn C.S., Kim K.H., Moon D.B., Ha T.Y., Song G.W., Jung D.H., Park G.C., Namgoong J.M., Yoon S.Y., Jung S.W., Lee S.G. Standardization of modified right lobe grafts to minimize vascular outflow complications for adult living donor liver transplantation. Transplant Proc. 2012 Mar; 44(2):457-9. doi: 10.1016/j.transproceed.2012.01.072. PMID: 22410043.S.
21. Hwang S., Lee S.G., Ahn C.S., Moon D.B., Kim K.H., Sung K.B., Ko G.Y., Ha T.Y., Song G.W., Jung D.H., Gwon D.I., Kim K.W., Choi N.K., Kim K.W., Yu Y.D., Park G.C. Morphometric and simulation analyses of right hepatic vein reconstruction in adult living donor liver transplantation using right lobe grafts. Liver Transpl. 2010 May;16(5):639-48. doi: 10.1002/lt.22045. PMID: 20440773.
22. Ko G.Y., Sung K.B., Yoon H.K., Kim K.R., Kim J.H., Gwon D.I., Lee S.G. Early posttransplant hepatic venous outflow obstruction: Long-term efficacy of primary stent placement. Liver Transpl. 2008 Oct;14(10):1505-11. doi: 10.1002/lt.21560. PMID: 18825710.
23. Jeng L.B., Thorat A., Yang H.R., Li P.C.. Venous outflow reconstruction in living donor liver transplantation: Dealing with venous anomalies. World J. Transplant. 2015 Dec 24; 5(4):145-53. doi: 10.5500/wjt.v5.i4.145. PMID: 26722643; PMCID: PMC4689926.
Дополнительные файлы
|
|
1. Алгоритм определения необходимости реконструкции вен от S5 и S8 печени | |
| Тема | ||
| Тип | Исследовательские инструменты | |
Посмотреть
(39KB)
|
Метаданные ▾ | |
|
|
2. Тип А (схема). | |
| Тема | ||
| Тип | Исследовательские инструменты | |
Посмотреть
(1MB)
|
Метаданные ▾ | |
|
|
3. Тип А (снимок КТ). | |
| Тема | ||
| Тип | Исследовательские инструменты | |
Посмотреть
(215KB)
|
Метаданные ▾ | |
|
|
4. Тип А (фото). | |
| Тема | ||
| Тип | Исследовательские инструменты | |
Посмотреть
(2MB)
|
Метаданные ▾ | |
|
|
5. Тип B (схема). | |
| Тема | ||
| Тип | Исследовательские инструменты | |
Посмотреть
(1MB)
|
Метаданные ▾ | |
|
|
6. Тип B (снимок КТ). | |
| Тема | ||
| Тип | Исследовательские инструменты | |
Посмотреть
(258KB)
|
Метаданные ▾ | |
|
|
7. Тип B (фото). | |
| Тема | ||
| Тип | Исследовательские инструменты | |
Посмотреть
(3MB)
|
Метаданные ▾ | |
|
|
8. Тип С (схема). | |
| Тема | ||
| Тип | Исследовательские инструменты | |
Посмотреть
(1MB)
|
Метаданные ▾ | |
|
|
9. Тип С (снимок КТ). | |
| Тема | ||
| Тип | Исследовательские инструменты | |
Посмотреть
(159KB)
|
Метаданные ▾ | |
|
|
10. Тип С (фото). | |
| Тема | ||
| Тип | Исследовательские инструменты | |
Посмотреть
(2MB)
|
Метаданные ▾ | |
|
|
11. Тип D (схема). | |
| Тема | ||
| Тип | Исследовательские инструменты | |
Посмотреть
(1MB)
|
Метаданные ▾ | |
|
|
12. Тип D (снимок КТ). | |
| Тема | ||
| Тип | Исследовательские инструменты | |
Посмотреть
(237KB)
|
Метаданные ▾ | |
|
|
13. Тип D (фото). | |
| Тема | ||
| Тип | Исследовательские инструменты | |
Посмотреть
(291KB)
|
Метаданные ▾ | |
|
|
14. Тип E (схема). | |
| Тема | ||
| Тип | Исследовательские инструменты | |
Посмотреть
(2MB)
|
Метаданные ▾ | |
|
|
15. Тип E (снимок КТ). | |
| Тема | ||
| Тип | Исследовательские инструменты | |
Посмотреть
(81KB)
|
Метаданные ▾ | |
|
|
16. Тип E (фото). | |
| Тема | ||
| Тип | Исследовательские инструменты | |
Посмотреть
(2MB)
|
Метаданные ▾ | |
|
|
17. Тип F (схема). | |
| Тема | ||
| Тип | Исследовательские инструменты | |
Посмотреть
(2MB)
|
Метаданные ▾ | |
|
|
18. Тип F (снимок КТ). | |
| Тема | ||
| Тип | Исследовательские инструменты | |
Посмотреть
(315KB)
|
Метаданные ▾ | |
|
|
19. Тип F (фото). | |
| Тема | ||
| Тип | Исследовательские инструменты | |
Посмотреть
(3MB)
|
Метаданные ▾ | |
|
|
20. Тип G (схема). | |
| Тема | ||
| Тип | Исследовательские инструменты | |
Посмотреть
(1MB)
|
Метаданные ▾ | |
|
|
21. Тип G (фото). | |
| Тема | ||
| Тип | Исследовательские инструменты | |
Посмотреть
(1MB)
|
Метаданные ▾ | |
|
|
22. Тип H (схема). | |
| Тема | ||
| Тип | Исследовательские инструменты | |
Посмотреть
(1MB)
|
Метаданные ▾ | |
|
|
23. Тип H (снимок КТ). | |
| Тема | ||
| Тип | Исследовательские инструменты | |
Посмотреть
(93KB)
|
Метаданные ▾ | |
|
|
24. Тип H (фото). | |
| Тема | ||
| Тип | Исследовательские инструменты | |
Посмотреть
(3MB)
|
Метаданные ▾ | |
|
|
25. Тип К (схема). | |
| Тема | ||
| Тип | Исследовательские инструменты | |
Посмотреть
(1MB)
|
Метаданные ▾ | |
|
|
26. Тип К (снимок КТ). | |
| Тема | ||
| Тип | Исследовательские инструменты | |
Посмотреть
(90KB)
|
Метаданные ▾ | |
|
|
27. Тип К (фото). | |
| Тема | ||
| Тип | Исследовательские инструменты | |
Посмотреть
(3MB)
|
Метаданные ▾ | |
|
|
28. Тип L (схема). | |
| Тема | ||
| Тип | Исследовательские инструменты | |
Посмотреть
(1MB)
|
Метаданные ▾ | |
|
|
29. Тип L (снимок КТ). | |
| Тема | ||
| Тип | Исследовательские инструменты | |
Посмотреть
(155KB)
|
Метаданные ▾ | |
|
|
30. Тип L (фото). | |
| Тема | ||
| Тип | Исследовательские инструменты | |
Посмотреть
(276KB)
|
Метаданные ▾ | |
|
|
31. Тип M (схема). | |
| Тема | ||
| Тип | Исследовательские инструменты | |
Посмотреть
(1MB)
|
Метаданные ▾ | |
|
|
32. Тип M (снимок КТ). | |
| Тема | ||
| Тип | Исследовательские инструменты | |
Посмотреть
(94KB)
|
Метаданные ▾ | |
|
|
33. Тип N (схема). | |
| Тема | ||
| Тип | Исследовательские инструменты | |
Посмотреть
(1MB)
|
Метаданные ▾ | |
|
|
34. Тип N (снимок КТ). | |
| Тема | ||
| Тип | Исследовательские инструменты | |
Посмотреть
(174KB)
|
Метаданные ▾ | |
|
|
35. Тип N (фото). | |
| Тема | ||
| Тип | Исследовательские инструменты | |
Посмотреть
(2MB)
|
Метаданные ▾ | |
|
|
36. Тип О (схема). | |
| Тема | ||
| Тип | Исследовательские инструменты | |
Посмотреть
(2MB)
|
Метаданные ▾ | |
|
|
37. Тип О (снимок КТ). | |
| Тема | ||
| Тип | Исследовательские инструменты | |
Посмотреть
(70KB)
|
Метаданные ▾ | |
|
|
38. Тип О (фото). | |
| Тема | ||
| Тип | Исследовательские инструменты | |
Посмотреть
(2MB)
|
Метаданные ▾ | |
|
|
39. Тип P (схема). | |
| Тема | ||
| Тип | Исследовательские инструменты | |
Посмотреть
(1MB)
|
Метаданные ▾ | |
|
|
40. Тип P (снимок КТ). | |
| Тема | ||
| Тип | Исследовательские инструменты | |
Посмотреть
(84KB)
|
Метаданные ▾ | |
|
|
41. Тип P (фото). | |
| Тема | ||
| Тип | Исследовательские инструменты | |
Посмотреть
(3MB)
|
Метаданные ▾ | |
|
42. Вклад авторов | |
| Тема | ||
| Тип | Исследовательские инструменты | |
Скачать
(32KB)
|
Метаданные ▾ | |
Рецензия
Для цитирования:
Восканян С.Э., Колышев И.Ю., Башков А.Н., Артемьев А.И., Рудаков В.С., Шабалин М.В., Мальцева А.П., Попов М.В., Сушков А.И., Вохмянин Г.В. Эфферентное кровоснабжение правой доли печени в аспекте ее трансплантации от живого донора: вариантная анатомия, классификация. Часть 1. Анналы хирургической гепатологии. 2023;28(1):10-24. https://doi.org/10.16931/1995-5464.2023-1-10-24
For citation:
Voskanyan S.E., Kolyshev I.Yu., Bashkov A.N., Artemiev A.I., Rudakov V.S., Shabalin M.V., Maltseva A.P., Popov M.V., Sushkov A.I., Vohmyanin G.V. Efferent blood supply to the right hepatic lobe regarding its transplantation from a living donor: variant anatomy, classification. Part 1. Annaly khirurgicheskoy gepatologii = Annals of HPB Surgery. 2023;28(1):10-24. (In Russ.) https://doi.org/10.16931/1995-5464.2023-1-10-24
JATS XML
























