Эфферентное кровоснабжение правой доли печени в аспекте ее трансплантации от живого донора: особенности реконструкции. Часть 2
https://doi.org/10.16931/1995-5464.2023-2-59-69
Аннотация
Цель. Представить технические особенности и результаты трансплантации правой доли печени при различных типах эфферентной венозной анатомии у живого донора.
Материал и методы. С 2009 по 2021 г. выполнено 306 трансплантаций печени от живого родственного донора. Пациенты с описанными ранее 14 подтипами эфферентной сосудистой анатомии, классифицированные в 3 типа, распределены в 4 группы в зависимости от числа реконструированных сосудов. Анализировали варианты анатомии вен правой доли печени, время операции и беспеченочного периода, частоту послеоперационных осложнений, объем кровопотери, в том числе в зависимости от числа реконструированных сосудов, а также выживаемость.
Результаты. Разработаны принципы и выявлены особенности реконструкции эфферентных вен трансплантата. Время оперативного вмешательства, продолжительность беспеченочного периода, частота послеоперационных осложнений были наибольшими при сепаратном типе оттока крови (р < 0,05). Кровопотеря была наибольшей при реконструкции 3 и 4 вен (р < 0,05). Различий между группами 3 и 4 по кровопотере не установлено. Выживаемость в течение 12, 36, 60 и 120 мес составила 84, 83, 81 и 71%, различий между группами нет.
Заключение. Для успешного выполнения трансплантации правой доли печени необходимо прецизионное картирование венозной анатомии донора, сохранение всех потенциально важных эфферентных сосудов и стремление к максимально полной их реконструкции вне зависимости от сложности эфферентной сосудистой анатомии.
Ключевые слова
Об авторах
И. Ю. КолышевРоссия
Колышев Илья Юрьевич – канд. мед. наук, заведующий хирургическим отделением №1 Центра новых хирургических технологий
123098, Москва, ул. Маршала Новикова, д. 23
С. Э. Восканян
Россия
Восканян Сергей Эдуардович – доктор мед. наук, профессор, член-корр. РАН, заведующий кафедрой хирургии с курсами онкохирургии, эндоскопии, хирургической патологии, клинической трансплантологии и органного донорства ИППО, заместитель главного врача по хирургической помощи, руководитель центра хирургии и трансплантологии
123098, Москва, ул. Маршала Новикова, д. 23
А. Н. Башков
Россия
Башков Андрей Николаевич – канд. мед. наук, заведующий отделением лучевой и радиоизотопной диагностики
123098, Москва, ул. Маршала Новикова, д. 23
А. И. Артемьев
Россия
Артемьев Алексей Игоревич – канд. мед. наук, заведующий хирургическим отделением центра хирургии и трансплантологии
123098, Москва, ул. Маршала Новикова, д. 23
В. С. Рудаков
Россия
Рудаков Владимир Сергеевич – канд. мед. наук, врач-хирург центра хирургии и трансплантологии
123098, Москва, ул. Маршала Новикова, д. 23
М. В. Шабалин
Россия
Шабалин Максим Вячеславович – канд. мед. наук, врач-хирург центра хирургии и трансплантологии
123098, Москва, ул. Маршала Новикова, д. 23
А. П. Мальцева
Россия
Мальцева Анна Погосовна – врач-хирург центра хирургии и трансплантологии
123098, Москва, ул. Маршала Новикова, д. 23
М. В. Попов
Россия
Попов Максим Васильевич – врач по рентгенэндоваскулярным диагностике и лечению отделения рентгенохирургических методов диагностики и лечения
123098, Москва, ул. Маршала Новикова, д. 23
А. И. Сушков
Россия
Сушков Александр Игоревич – заведующий лабораторией новых хирургических технологий
123098, Москва, ул. Маршала Новикова, д. 23
Г. В. Вохмянин
Россия
Вохмянин Георгий Владимирович – врач-хирург центра хирургии и трансплантологии
123098, Москва, ул. Маршала Новикова, д. 23
Список литературы
1. Nakamura T., Tanaka K., Kiuchi T., Kasahara M., Oike F., Ueda M., Kaihara S., Egawa H., Ozden I., Kobayashi N., Uemoto S. Anatomical variations and surgical strategies in right lobe living donor liver transplantation: lessons from 120 cases. Transplantation. 2002; Jun 27;73(12):1896-903. doi: 10.1097/00007890-200206270-00008. PMID: 12131684.
2. Soyer P., Bluemke D.A., Choti M.A., Fishman E.K. Variations in the intrahepatic portions of the hepatic and portal veins: findings on helical CT scans during arterial portography. AJR. Am. J. Roentgenol. 1995; 164: 103–8. doi: 10.2214/ajr.164.1.7998521
3. Orguc S., Tercan M, Bozoklar A., Akyildiz M., Gurgan U., Celebi A., Nart D., Karasu Z., Icoz G., Zeytunlu M., Yuzer Y., Tokat Y., Kilic M. Variations of hepatic veins: helical computerized tomography experience in 100 consecutive living liver donors with emphasis on right lobe. Transplant Proc. 2004; Nov;36(9):2727-32. doi: 10.1016/j.transproceed.2004.10.006. PMID: 15621134.
4. Hirai I., Kimura W., Fuse A., Yamamoto T., Moriya T., Mizutani M.. Evaluation of inferior right hepatic vein-preserving hepatectomy with resection of the superior right hepatic vein. Hepatogastroenterology. 2006; Jul-Aug;53(70):516-20. PMID: 16995452.
5. Masuda Y., Yoshizawa K., Ohno Y., Mita A., Shimizu A., Soejima Y.. Small-for-size syndrome in liver transplantation: Definition, pathophysiology and management. Hepatobiliary Pancreat. Dis. Int. 2020; Aug;19(4):334-341. doi: 10.1016/j.hbpd.2020.06.015. Epub 2020 Jun 30. PMID: 32646775
6. Ким С.Ю. Оценка фрагментарных печеночных трансплантатов с помощью мультиспиральной компьютерной и магнитно-резонансной томографии: диссертация ... кандидата медицинских наук: 14.01.13. М.2016.- 134 с.
7. Новрузбеков М.С., Олисов О.Д. Сосудистые осложнения после ортотопической трансплантации печени. Трансплантология. 2017;9(1):35-50. https://doi.org/10.23873/2074-0506-2017-9-1-35-50
8. Восканян С.Э., Артемьев А.И., Найденов Е.В., Забежинский Д.А., Чучуев Е.С., Рудаков В.С., Шабалин М.В., Щербин В.В. Трансплантационные технологии в хирургии местнораспространенного альвеококкоза печени с инвазией магистральных сосудов. Анналы хирургической гепатологии. 2016;21(2):25-31. https://doi.org/10.16931/1995-5464.2016225-31
9. Fan S.T., Lo C.M., Liu C.L., Wang W.X., Wong J. Safety and necessity of including the middle hepatic vein in the right lobe graft in adult-to-adult live donor liver transplantation. Ann. Surg. 2003; 238(1):137-148. doi:10.1097/01.sla.0000077921.38307.16MLA
10. Bappaditya H., Inbaraj B., Sreejith S., Bhargava R. C., Rajesh D., Rajgopal A.M., Pandey Y., Agarwal S., Gupta S., Verma S., The importance of Inferior Hepatic vein reconstruction in right lobe liver grafts: Does it really matter? Journal of Liver Transplantation, Volume 3, 2021, 100025, ISSN 2666-9676, https://doi.org/10.1016/j.liver.2021.100025.
11. Lee S.H., Na G.H., Choi H.J., Kim D.G., You Y.K. Impact of the Reconstruction Material on the Patency of Middle Hepatic Vein in Living Donor Liver Transplantation Using the Right Liver. Transplant. Proc. 2019; Oct;51(8):2745-2749. doi: 10.1016/j.transproceed.2019.03.075. PMID: 31563244.
12. Varghese C.T., Bharathan V.K., Gopalakrishnan U., Balakrishnan D., Menon R.N., Sudheer O.V., Dhar P., Sudhindran S. Randomized trial on extended versus modified right lobe grafts in living donor liver transplantation. Liver Transpl. 2018; Jul; 24(7):888-896. doi: 10.1002/lt.25014. PMID: 29350831.
13. Hong S.Y., Kim T., Kim M., Lee H.Y., Wang H.J., Kim B.W. Strategy for Selective Middle Hepatic Vein Reconstruction in Living Donor Liver Transplantation Using Right Lobe Graft: A Retrospective Observational Study. Transplan.t Proc. 2021; Sep; 53(7):2318-2328. doi: 10.1016/j.transproceed.2021.07.042. Epub 2021 Aug 24. PMID: 34446307.
14. Gyu Lee S., Min Park K., Hwang S., Hun Kim K., Nak Choi D., Hyung Joo S., Soo Anh C., Won Nah Y., Yeong Jeon J., Hoon Park S., Suck Koh K., Hoon Han S., Taek Choi K., Sam Hwang K., Sugawara Y., Makuuchi M., Chul Min P. Modified right liver graft from a living donor to prevent congestion. Transplantation. 2002; Jul; 15;74(1):54-9. doi: 10.1097/00007890-200207150-00010. PMID: 12134099.
15. Tan C.H.N., Hwang S., Bonney G.K., Ganpathi I.S., Madhavan K., Kow W.C.A. The influence of the middle hepatic vein and its impact on outcomes in right lobe living donor liver transplantation. HPB (Oxford). 2019; May;21(5):547-556. doi: 10.1016/j.hpb.2018.09.003. Epub 2018 Oct 4. PMID: 30292529.
16. Ito K., Akamatsu N., Tani K., Ito D., Kaneko J., Arita J., Sakamoto Y., Hasegawa K., Kokudo N. Reconstruction of Hepatic Venous Tributary in Right Liver Living Donor Liver Transplantation: The Importance of the Inferior Right Hepatic Vein Liver. Transpl. 2016; Apr;22(4):410-9. DOI: 10.1002/lt.24386.
Дополнительные файлы
|
|
1. Рис. 1а. Позиционирование ППВ и НПВ перед формированием гепатикокавального анастомоза | |
| Тема | ||
| Тип | Исследовательские инструменты | |
Посмотреть
(81KB)
|
Метаданные ▾ | |
|
|
2. Рис. 1б. Гепатикокавальная реконструкция при типе А строении печеночных вен трансплантата | |
| Тема | ||
| Тип | Исследовательские инструменты | |
Посмотреть
(679KB)
|
Метаданные ▾ | |
|
|
3. Рисунок 2а. Гепатикокавальная реконструкция при типе В строении печеночных вен трансплантата | |
| Тема | ||
| Тип | Исследовательские инструменты | |
Посмотреть
(4MB)
|
Метаданные ▾ | |
|
|
4. Рисунок 2б. Операционная фотография гепатикокавальной реконструкция при типе В строении печеночных вен трансплантата с использованием ПТФЭ-протеза НПВ | |
| Тема | ||
| Тип | Исследовательские инструменты | |
Посмотреть
(2MB)
|
Метаданные ▾ | |
|
|
5. Рис. 3a. Объединение устьев ППВ и вены от 7-ого сегмента печени (схема) | |
| Тема | ||
| Тип | Исследовательские инструменты | |
Посмотреть
(4MB)
|
Метаданные ▾ | |
|
|
6. Рис. 3б. Объединение устьев ППВ и вены от 7-ого сегмента печени (фото) | |
| Тема | ||
| Тип | Исследовательские инструменты | |
Посмотреть
(291KB)
|
Метаданные ▾ | |
|
|
7. Рис. 4a. Гепатикокавальная реконструкция при наличии дополнительной вены от S5 печени (схема) | |
| Тема | ||
| Тип | Исследовательские инструменты | |
Посмотреть
(3MB)
|
Метаданные ▾ | |
|
|
8. Рис. 4б. Гепатикокавальная реконструкция при наличии дополнительной вены от S5 печени | |
| Тема | ||
| Тип | Исследовательские инструменты | |
Посмотреть
(3MB)
|
Метаданные ▾ | |
|
|
9. Рис. 5a. Гепатикокавальная реконструкция при наличии дополнительной вены от S8 печени (схема) | |
| Тема | ||
| Тип | Исследовательские инструменты | |
Посмотреть
(2MB)
|
Метаданные ▾ | |
|
|
10. Рис. 5б. Гепатикокавальная реконструкция при наличии дополнительной вены от S8 печени (фото) | |
| Тема | ||
| Тип | Исследовательские инструменты | |
Посмотреть
(2MB)
|
Метаданные ▾ | |
|
|
11. Рис. 6a. Гепатикокавальная реконструкция при наличии двух срединных печеночных вен (тип N) (схема) | |
| Тема | ||
| Тип | Исследовательские инструменты | |
Посмотреть
(3MB)
|
Метаданные ▾ | |
|
|
12. Рис. 6б. Гепатикокавальная реконструкция при наличии дополнительной вены от S8 печени | |
| Тема | ||
| Тип | Исследовательские инструменты | |
Посмотреть
(2MB)
|
Метаданные ▾ | |
|
|
13. Рис. 7a. Гепатикокавальная реконструкция при наличии дополнительных вен от S5 и S8 печени (схема) | |
| Тема | ||
| Тип | Исследовательские инструменты | |
Посмотреть
(280KB)
|
Метаданные ▾ | |
|
|
14. Рис. 7б. Гепатикокавальная реконструкция при наличии дополнительных вен от S5 и S8 печени | |
| Тема | ||
| Тип | Исследовательские инструменты | |
Посмотреть
(2MB)
|
Метаданные ▾ | |
|
|
15. Рис. 8a. Гепатикокавальная реконструкция при полном сепаратном оттоке крови от трансплантата (тип P) (схема) | |
| Тема | ||
| Тип | Исследовательские инструменты | |
Посмотреть
(3MB)
|
Метаданные ▾ | |
|
|
16. Рис. 8б. Гепатикокавальная реконструкция при полном сепаратном оттоке крови от трансплантата (тип P) | |
| Тема | ||
| Тип | Исследовательские инструменты | |
Посмотреть
(2MB)
|
Метаданные ▾ | |
|
|
17. Рис. 9а Стеноз ППВ, гипертрофированным трансплантатом | |
| Тема | ||
| Тип | Исследовательские инструменты | |
Посмотреть
(114KB)
|
Метаданные ▾ | |
|
|
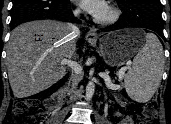
18. Рис.9б Состояние после стентирования ППВ | |
| Тема | ||
| Тип | Исследовательские инструменты | |
Посмотреть
(116KB)
|
Метаданные ▾ | |
|
19. Вклад авторов | |
| Тема | ||
| Тип | Исследовательские инструменты | |
Скачать
(32KB)
|
Метаданные ▾ | |
Рецензия
Для цитирования:
Колышев И.Ю., Восканян С.Э., Башков А.Н., Артемьев А.И., Рудаков В.С., Шабалин М.В., Мальцева А.П., Попов М.В., Сушков А.И., Вохмянин Г.В. Эфферентное кровоснабжение правой доли печени в аспекте ее трансплантации от живого донора: особенности реконструкции. Часть 2. Анналы хирургической гепатологии. 2023;28(2):59-69. https://doi.org/10.16931/1995-5464.2023-2-59-69
For citation:
Voskanyan S.E., Kolyshev I.Yu., Bashkov А.N., Artemiev А.I., Rudakov V.S., Shabalin M.V., Maltseva A.P., Popov M.V., Sushkov A.I., Vohmyanin G.V. Efferent blood supply to the right hepatic lobe regarding its transplantation from a living donor: reconstruction features. Part 2. Annaly khirurgicheskoy gepatologii = Annals of HPB Surgery. 2023;28(2):59-69. (In Russ.) https://doi.org/10.16931/1995-5464.2023-2-59-69
























